Antibody data
- Antibody Data
- Antigen structure
- References [0]
- Comments [0]
- Validations
- Western blot [1]
- Immunohistochemistry [1]
Submit
Validation data
Reference
Comment
Report error
- Product number
- ABIN1534371 - Provider product page

- Provider
- antibodies-online
- Product name
- anti-COX7S/A2 (AA 1-50) antibody
- Antibody type
- Polyclonal
- Description
- The antibody was purified from rabbit antiserum by affinity-chromatography using immunogen.
- Reactivity
- Human, Mouse, Rat
- Host
- Rabbit
- Epitope
- AA 1-50
- Isotype
- IgG
- Vial size
- 100 μg
- Storage
- Stable at -20°C for at least 1 year.
No comments: Submit comment
Supportive validation
- Submitted by
- antibodies-online (provider)
- Main image

- Experimental details
- WB
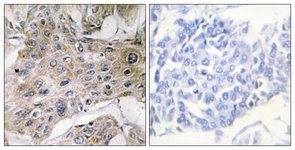
Supportive validation
- Submitted by
- antibodies-online (provider)
- Main image

- Experimental details
- IHC