Antibody data
- Antibody Data
- Antigen structure
- References [0]
- Comments [0]
- Validations
- Western blot [1]
- Immunohistochemistry [1]
Submit
Validation data
Reference
Comment
Report error
- Product number
- AP31867PU-N - Provider product page

- Provider
- Acris Antibodies GmbH
- Proper citation
- Acris Antibodies GmbH Cat#AP31867PU-N, RRID:AB_11215089
- Product name
- anti COX7A2 (N-term)
- Antibody type
- Polyclonal
- Antigen
- Synthetic peptide from Human COX7S/A2.Epitope: N-Terminus.
- Reactivity
- Human, Mouse, Rat
- Host
- Rabbit
- Isotype
- IgG
- Vial size
- 50 µg
- Concentration
- 1.0 mg/ml
No comments: Submit comment
Supportive validation
- Submitted by
- Acris Antibodies GmbH (provider)
- Main image

- Experimental details
- Western blot analysis of extracts from rat heart cells, using COX7S/A2 Antibody. The lane on the right is treated with the synthesized peptide.
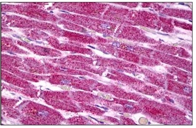
Supportive validation
- Submitted by
- Acris Antibodies GmbH (provider)
- Main image

- Experimental details
- Human Heart: Formalin-Fixed, Paraffin-Embedded (FFPE)