Antibody data
- Antibody Data
- Antigen structure
- References [0]
- Comments [0]
- Validations
- Western blot [1]
- Immunohistochemistry [1]
Submit
Validation data
Reference
Comment
Report error
- Product number
- ABIN1106825 - Provider product page

- Provider
- antibodies-online
- Product name
- anti-Cytochrome C Oxidase Subunit VIIa Polypeptide 2 (Liver) (COX7A2) (N-Term) antibody
- Antibody type
- Polyclonal
- Antigen
- Synthetic peptide from Human COX7S/A2. Epitope: N-Terminus.
- Description
- Immunoaffinity Chromatography
- Reactivity
- Human, Mouse, Rat
- Host
- Rabbit
- Epitope
- N-Term
- Isotype
- IgG
- Vial size
- 50 μg
- Concentration
- 1.0 mg/mL
- Storage
- Store the antibody undiluted at 2-8°C for one month or (in aliquots) at -20°C for longer.
- Handling
- Avoid repeated freezing and thawing.
No comments: Submit comment
Supportive validation
- Submitted by
- antibodies-online (provider)
- Main image

- Experimental details
- Western blot analysis of extracts from rat heart cells, using COX7S/A2 Antibody. The lane on the right is treated with the synthesized peptide.
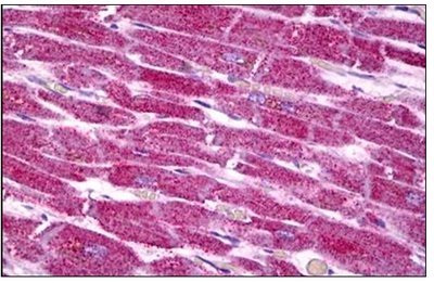
Supportive validation
- Submitted by
- antibodies-online (provider)
- Main image

- Experimental details
- Human Heart: Formalin-Fixed, Paraffin-Embedded (FFPE)