Antibody data
- Antibody Data
- Antigen structure
- References [0]
- Comments [0]
- Validations
- Western blot [1]
- Immunohistochemistry [1]
Submit
Validation data
Reference
Comment
Report error
- Product number
- GTX119323 - Provider product page

- Provider
- GeneTex
- Proper citation
- GeneTex Cat#GTX119323, RRID:AB_10633005
- Product name
- TRIM49 antibody [N1C1]
- Antibody type
- Polyclonal
- Reactivity
- Human
- Host
- Rabbit
No comments: Submit comment
Supportive validation
- Submitted by
- GeneTex (provider)
- Main image

- Experimental details
- Sample (30 ug of whole cell lysate) A: NT2D1 10% SDS PAGE GTX119323 diluted at 1:1000
Supportive validation
- Submitted by
- GeneTex (provider)
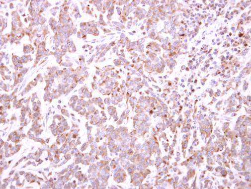
- Main image

- Experimental details
- TRIM49 antibody [N1C1] detects TRIM49 protein at cytoplasm on TOV-21G xenograft by immunohistochemical analysis. Sample: Paraffin-embedded TOV-21G xenograft. TRIM49 antibody [N1C1] (GTX119323) dilution: 1:500.