Antibody data
- Antibody Data
- Antigen structure
- References [0]
- Comments [0]
- Validations
- Immunohistochemistry [5]
Submit
Validation data
Reference
Comment
Report error
- Product number
- PA5-63358 - Provider product page

- Provider
- Invitrogen Antibodies
- Product name
- AIF1L Polyclonal Antibody
- Antibody type
- Polyclonal
- Antigen
- Recombinant protein fragment
- Description
- Immunogen sequence: RQERRLAEIN REFLCDQKYS DEENLPE Highest antigen sequence identity to the following orthologs: Mouse - 93%, Rat - 93%.
- Reactivity
- Human
- Host
- Rabbit
- Isotype
- IgG
- Vial size
- 100 μL
- Concentration
- 0.05 mg/mL
- Storage
- Store at 4°C short term. For long term storage, store at -20°C, avoiding freeze/thaw cycles.
No comments: Submit comment
Supportive validation
- Submitted by
- Invitrogen Antibodies (provider)
- Main image

- Experimental details
- Immunohistochemical analysis of AIF1L in human liver using AIF1L Polyclonal Antibody (Product # PA5-63358) shows no positivity in hepatocytes as expected.
- Submitted by
- Invitrogen Antibodies (provider)
- Main image

- Experimental details
- Immunohistochemical analysis of AIF1L in human lymph node using AIF1L Polyclonal Antibody (Product # PA5-63358) shows no positivity in non-germinal center cells as expected.
- Submitted by
- Invitrogen Antibodies (provider)
- Main image

- Experimental details
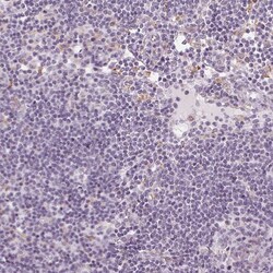
- Immunohistochemical analysis of AIF1L in human spleen using AIF1L Polyclonal Antibody (Product # PA5-63358) shows moderate membranous positivity in cells in red pulp.
- Submitted by
- Invitrogen Antibodies (provider)
- Main image

- Experimental details
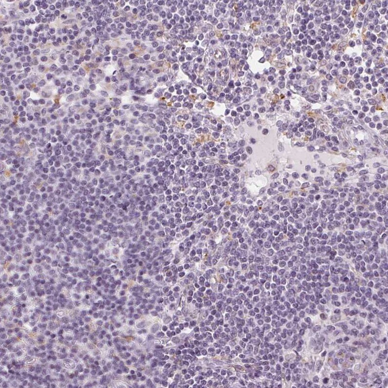
- Immunohistochemical staining of AIF1L in human lymph node using AIF1L Polyclonal Antibody (Product # PA5-63358) shows low expression as expected.
- Submitted by
- Invitrogen Antibodies (provider)
- Main image

- Experimental details
- Immunohistochemical staining of AIF1L in human kidney and lymph node tissues using AIF1L Polyclonal Antibody (Product # PA5-63358). Corresponding AIF1L RNA-seq data are presented for the same tissues.