Antibody data
- Antibody Data
- Antigen structure
- References [0]
- Comments [0]
- Validations
- Immunohistochemistry [4]
Submit
Validation data
Reference
Comment
Report error
- Product number
- PA5-55815 - Provider product page

- Provider
- Invitrogen Antibodies
- Product name
- C1orf216 Polyclonal Antibody
- Antibody type
- Polyclonal
- Antigen
- Recombinant protein fragment
- Description
- Immunogen sequence: MFAIQPGLAE GGQFLGDPPP GLCQPELQPD SNSNFMASAK DANENWHGMP GRVEPILRRS SSESPSDNQA Highest antigen sequence identity to the following orthologs: Mouse - 74%, Rat - 71%.
- Reactivity
- Human
- Host
- Rabbit
- Isotype
- IgG
- Vial size
- 100 μL
- Concentration
- 0.10 mg/mL
- Storage
- Store at 4°C short term. For long term storage, store at -20°C, avoiding freeze/thaw cycles.
No comments: Submit comment
Supportive validation
- Submitted by
- Invitrogen Antibodies (provider)
- Main image

- Experimental details
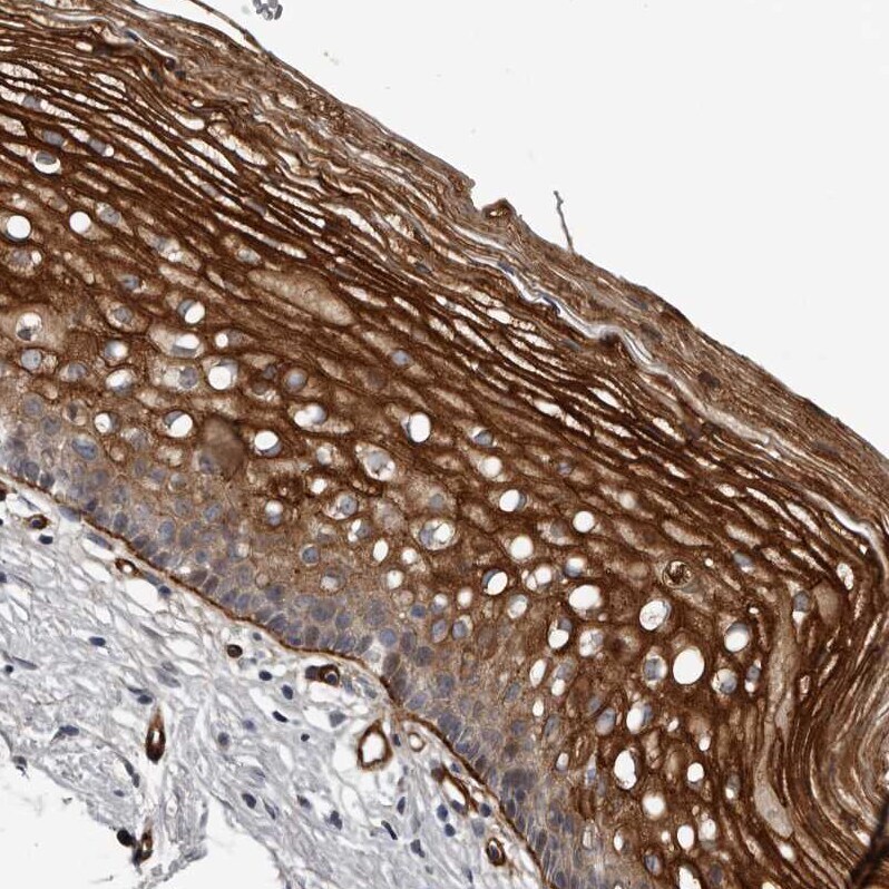
- Immunohistochemical analysis of C1orf216 in human cervix using C1orf216 Polyclonal Antibody (Product # PA5-55815) shows strong cytoplasmic positivity in squamous epithelial cells.
- Submitted by
- Invitrogen Antibodies (provider)
- Main image

- Experimental details
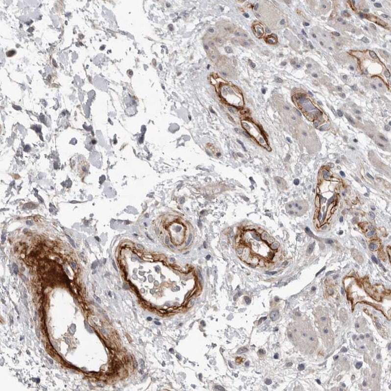
- Immunohistochemical analysis of C1orf216 in human rectum using C1orf216 Polyclonal Antibody (Product # PA5-55815) shows strong cytoplasmic positivity in endothelial cells.
- Submitted by
- Invitrogen Antibodies (provider)
- Main image

- Experimental details
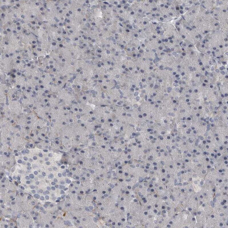
- Immunohistochemical analysis of C1orf216 in human pancreas using C1orf216 Polyclonal Antibody (Product # PA5-55815) shows no positivity in exocrine glandular cells as expected.
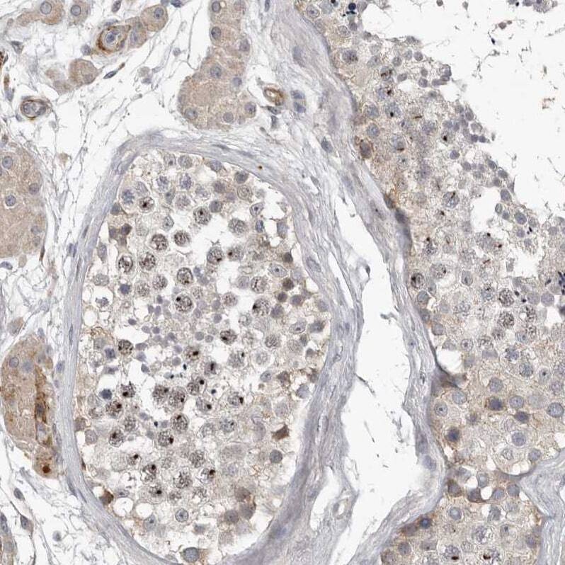
- Submitted by
- Invitrogen Antibodies (provider)
- Main image

- Experimental details
- Immunohistochemical analysis of C1orf216 in human testis using C1orf216 Polyclonal Antibody (Product # PA5-55815) shows moderate positivity in nucleoli in cells in seminiferous ducts.