Antibody data
- Antibody Data
- Antigen structure
- References [1]
- Comments [0]
- Validations
- Western blot [2]
- Immunohistochemistry [7]
Submit
Validation data
Reference
Comment
Report error
- Product number
- NBP2-32691 - Provider product page

- Provider
- Novus Biologicals
- Product name
- Rabbit Polyclonal GSTO1 Antibody
- Antibody type
- Polyclonal
- Description
- Immunogen affinity purified. Specificity of human GSTO1 antibody verified on a Protein Array containing target protein plus 383 other non-specific proteins.
- Reactivity
- Human
- Host
- Rabbit
- Isotype
- IgG
- Vial size
- 0.1 ml
- Storage
- Store at 4C short term. Aliquot and store at -20C long term. Avoid freeze-thaw cycles.
Submitted references Chemotherapy-Induced Ca2+ Release Stimulates Breast Cancer Stem Cell Enrichment.
Lu H, Chen I, Shimoda LA, Park Y, Zhang C, Tran L, Zhang H, Semenza GL
Cell reports 2017 Feb 21;18(8):1946-1957
Cell reports 2017 Feb 21;18(8):1946-1957
No comments: Submit comment
Supportive validation
- Submitted by
- Novus Biologicals (provider)
- Main image

- Experimental details
- Western Blot: GSTO1 Antibody [NBP2-32691] - Lane 1: Marker [kDa] 250, 130, 95, 72, 55, 36, 28, 17, 10. Lane 2: Human cell line RT-4. Lane 3: Human cell line U-251MG sp. Lane 4: Human plasma (IgG/HSA depleted). Lane 5: Human liver tissue. Lane 6: Human tonsil tissue
- Submitted by
- Novus Biologicals (provider)
- Main image

- Experimental details
- Western Blot: GSTO1 Antibody [NBP2-32691] - Human breast cancer cell line MCF7 was treated with carboplatin for 72 hours and expression of GSTO1 was detected by Western blot. Image from verified customer review.
Supportive validation
- Submitted by
- Novus Biologicals (provider)
- Main image

- Experimental details
- Immunohistochemistry-Paraffin: GSTO1 Antibody [NBP2-32691] - Staining of human liver shows high expression.
- Submitted by
- Novus Biologicals (provider)
- Main image

- Experimental details
- Immunohistochemistry-Paraffin: GSTO1 Antibody [NBP2-32691] - Staining of human pancreas shows low expression as expected.
- Submitted by
- Novus Biologicals (provider)
- Main image

- Experimental details
- Immunohistochemistry-Paraffin: GSTO1 Antibody [NBP2-32691] - Staining in human liver and pancreas tissues using anti-GSTO1 antibody. Corresponding GSTO1 RNA-seq data are presented for the same tissues.
- Submitted by
- Novus Biologicals (provider)
- Main image

- Experimental details
- Immunohistochemistry-Paraffin: GSTO1 Antibody [NBP2-32691] - Staining of human kidney, liver, testis and thyroid gland using Anti-GSTO1 antibody NBP2-32691 (A) shows similar protein distribution across tissues to independent antibody NBP1-83321 (B).
- Submitted by
- Novus Biologicals (provider)
- Main image

- Experimental details
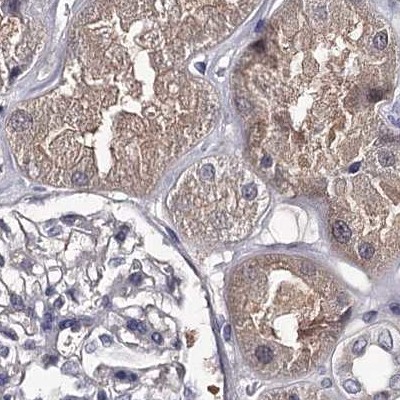
- Immunohistochemistry-Paraffin: GSTO1 Antibody [NBP2-32691] - Staining of human kidney.
- Submitted by
- Novus Biologicals (provider)
- Main image

- Experimental details
- Immunohistochemistry-Paraffin: GSTO1 Antibody [NBP2-32691] - Staining of human thyroid gland.
- Submitted by
- Novus Biologicals (provider)
- Main image

- Experimental details
- Immunohistochemistry-Paraffin: GSTO1 Antibody [NBP2-32691] - Staining of human testis.