11945-1-AP
antibody from Proteintech Group
Targeting: ST7
ETS7q, FAM4A, FAM4A1, HELG, RAY1, SEN4, TSG7
Antibody data
- Antibody Data
- Antigen structure
- References [1]
- Comments [0]
- Validations
- Western blot [1]
- Immunoprecipitation [1]
- Immunohistochemistry [2]
Submit
Validation data
Reference
Comment
Report error
- Product number
- 11945-1-AP - Provider product page

- Provider
- Proteintech Group
- Proper citation
- Proteintech Cat#11945-1-AP, RRID:AB_2270936
- Product name
- ST7 antibody
- Antibody type
- Polyclonal
- Description
- ST7 antibody (Cat. #11945-1-AP) is a rabbit polyclonal antibody that shows reactivity with human, mouse and has been validated for the following applications: IHC, WB,ELISA.
- Reactivity
- Human, Mouse
- Host
- Rabbit
- Conjugate
- Unconjugated
- Isotype
- IgG
- Vial size
- 20ul, 150ul
Submitted references Genetic validation of the protein arginine methyltransferase PRMT5 as a candidate therapeutic target in glioblastoma.
Yan F, Alinari L, Lustberg ME, Martin LK, Cordero-Nieves HM, Banasavadi-Siddegowda Y, Virk S, Barnholtz-Sloan J, Bell EH, Wojton J, Jacob NK, Chakravarti A, Nowicki MO, Wu X, Lapalombella R, Datta J, Yu B, Gordon K, Haseley A, Patton JT, Smith PL, Ryu J, Zhang X, Mo X, Marcucci G, Nuovo G, Kwon CH, Byrd JC, Chiocca EA, Li C, Sif S, Jacob S, Lawler S, Kaur B, Baiocchi RA
Cancer research 2014 Mar 15;74(6):1752-65
Cancer research 2014 Mar 15;74(6):1752-65
No comments: Submit comment
Supportive validation
- Submitted by
- Proteintech Group (provider)
- Main image

- Experimental details
- PC-3 cells were subjected to SDS PAGE followed by western blot with 11945-1-AP(ST7 antibody) at dilution of 1:500
- Sample type
- cell line
Supportive validation
- Submitted by
- Proteintech Group (provider)
- Main image

- Experimental details
- IP Result of anti-ST7 (IP:11945-1-AP, 4ug; Detection:11945-1-AP 1:1500) with PC-3 cells lysate 2640ug.
- Sample type
- cell line
Supportive validation
Supportive validation
- Submitted by
- Proteintech Group (provider)
- Main image

- Experimental details
- The ST7 antibody from Proteintech is a rabbit polyclonal antibody to a recombinant protein of human ST7. This antibody recognizes human,mouse,rat antigen. The ST7 antibody has been validated for the following applications: ELISA, WB, IHC, IP analysis.
Supportive validation
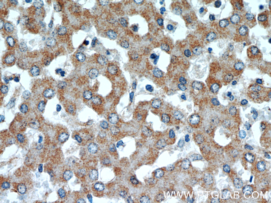
- Submitted by
- Proteintech Group (provider)
- Main image

- Experimental details
- Immunohistochemical of paraffin-embedded human liver using 11945-1-AP(ST7 antibody) at dilution of 1:50 (under 10x lens)
- Sample type
- tissue