Antibody data
- Antibody Data
- Antigen structure
- References [0]
- Comments [0]
- Validations
- Western blot [2]
- Immunohistochemistry [1]
Submit
Validation data
Reference
Comment
Report error
- Product number
- ARG63935 - Provider product page

- Provider
- Arigo
- Product name
- anti-Hamartin / TSC1 antibody
- Antibody type
- Polyclonal
- Antigen
- C-QLHIMDYNETHHEH
- Description
- Purified from goat serum by ammonium sulphate precipitation followed by antigen affinity chromatography using the immunizing peptide.
- Reactivity
- Human
- Host
- Goat
- Isotype
- IgG
- Vial size
- 100 µg
- Concentration
- 0.5 mg/ml
- Storage
- Aliquot and store at -20°C. Storage in frost free freezers is not recommended. Avoid repeated freeze/thaw cycles. The antibody solution should be gently mixed before use.
- Handling
- The antibody solution should be gently mixed before use.
No comments: Submit comment
Supportive validation
- Submitted by
- Arigo (provider)
- Main image

- Experimental details
- Western Blot: Human Brain lysate (35 µg protein in RIPA buffer) stained with ARG63935 anti-Hamartin / TSC1 (isoform 1) antibody at 0.1 µg/ml dilution.
- Submitted by
- Arigo (provider)
- Main image

- Experimental details
- Western Blot: 1). Mock transfection; 2) Human TSC1 (RC213332) expressing plasmid transfected HEK293 cell lysate standed with ARG63935 anti-Hamartin / TSC1 (isoform 1) antibody
Supportive validation
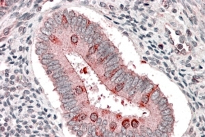
- Submitted by
- Arigo (provider)
- Main image

- Experimental details
- Immunohistochemistry: paraffin embedded Human Uterus. (Steamed antigen retrieval with citrate buffer pH 6) stained with ARG63935 anti-Hamartin / TSC1 (isoform 1) antibody at 3.8 µg/ml dilution followed by AP-staining.