Antibody data
- Antibody Data
- Antigen structure
- References [0]
- Comments [0]
- Validations
- Western blot [1]
- Immunohistochemistry [2]
Submit
Validation data
Reference
Comment
Report error
- Product number
- LS-C203698 - Provider product page

- Provider
- LSBio
- Product name
- SESN3 Antibody (aa320-347) LS-C203698
- Antibody type
- Polyclonal
- Description
- Protein A purified
- Reactivity
- Human
- Host
- Rabbit
- Storage
- Short term: store at 4°C. Long term: aliquot and store at -20°C. Avoid freeze-thaw cycles.
No comments: Submit comment
Enhanced validation
- Submitted by
- LSBio (provider)
- Enhanced method
- Genetic validation
- Main image

- Experimental details
- Sestrin-3 Antibody (Center Y335) western blot of A549 cell line lysates (35 ug/lane). The Sestrin-3 antibody detected the Sestrin-3 protein (arrow).
Supportive validation
- Submitted by
- LSBio (provider)
- Enhanced method
- Genetic validation
- Main image

- Experimental details
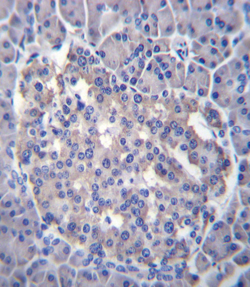
- Sestrin-3 Antibody (Center Y335) immunohistochemistry of formalin-fixed and paraffin-embedded human pancreas tissue followed by peroxidase-conjugated secondary antibody and DAB staining.This data demonstrates the use of Sestrin-3 Antibody (Center Y335) for immunohistochemistry.
- Submitted by
- LSBio (provider)
- Enhanced method
- Genetic validation
- Main image

- Experimental details
- Sestrin-3 Antibody (Center Y335) immunohistochemistry of formalin-fixed and paraffin-embedded human pancreas tissue followed by peroxidase-conjugated secondary antibody and DAB staining.This data demonstrates the use of Sestrin-3 Antibody (Center Y335) for immunohistochemistry.