Antibody data
- Antibody Data
- Antigen structure
- References [0]
- Comments [0]
- Validations
- Immunocytochemistry [3]
- Immunohistochemistry [1]
Submit
Validation data
Reference
Comment
Report error
- Product number
- PA5-57741 - Provider product page

- Provider
- Invitrogen Antibodies
- Product name
- FAM76B Polyclonal Antibody
- Antibody type
- Polyclonal
- Antigen
- Recombinant protein fragment
- Description
- Immunogen sequence: HHRHSSSHHK ISNLSPEEEQ GLWKQSHKSS ATIQNETPKK KPKLESKPSN GDSSSINQSA DSGGTDNFVL ISQLKEE Highest antigen sequence identity to the following orthologs: Mouse - 94%, Rat - 61%.
- Reactivity
- Human
- Host
- Rabbit
- Isotype
- IgG
- Vial size
- 100 μL
- Concentration
- 0.2 mg/mL
- Storage
- Store at 4°C short term. For long term storage, store at -20°C, avoiding freeze/thaw cycles.
No comments: Submit comment
Supportive validation
- Submitted by
- Invitrogen Antibodies (provider)
- Main image

- Experimental details
- Immunofluorescent staining of FAM76B in human cell line U-2 OS shows positivity in nucleus & nuclear membrane. Samples were probed using a FAM76B Polyclonal Antibody (Product # PA5-57741).
- Submitted by
- Invitrogen Antibodies (provider)
- Main image

- Experimental details
- Immunofluorescent staining of FAM76B in human cell line U-2 OS using a FAM76B Polyclonal Antibody (Product # PA5-57741) shows localization to nucleus, nucleoli fibrillar center and nuclear membrane.
- Submitted by
- Invitrogen Antibodies (provider)
- Main image

- Experimental details
- Immunofluorescent staining of FAM76B in human cell line U-2 OS using a FAM76B Polyclonal Antibody (Product # PA5-57741) shows localization to nucleus, nucleoli fibrillar center and nuclear membrane.
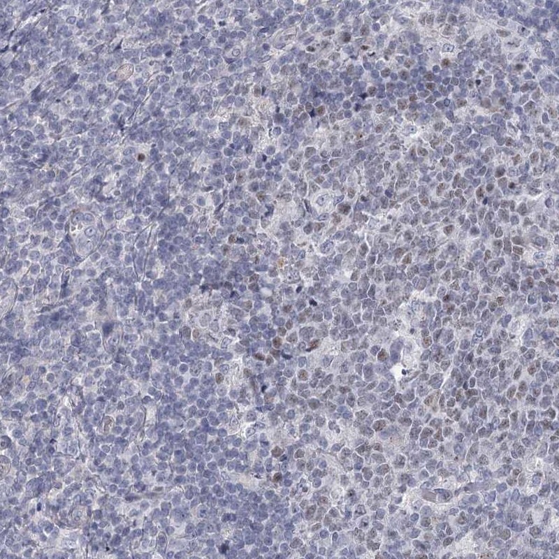
Supportive validation
- Submitted by
- Invitrogen Antibodies (provider)
- Main image

- Experimental details
- Immunohistochemical analysis of FAM76B in human tonsil using FAM76B Polyclonal Antibody (Product # PA5-57741) shows nuclear positivity in germinal center cells.