Antibody data
- Antibody Data
- Antigen structure
- References [1]
- Comments [0]
- Validations
- Immunohistochemistry [3]
- Other assay [1]
Submit
Validation data
Reference
Comment
Report error
- Product number
- PA5-50409 - Provider product page

- Provider
- Invitrogen Antibodies
- Product name
- FAM107A Polyclonal Antibody
- Antibody type
- Polyclonal
- Antigen
- Other
- Description
- The antibody detects endogenous levels of total FAM107A protein.
- Reactivity
- Human
- Host
- Rabbit
- Isotype
- IgG
- Vial size
- 100 μL
- Concentration
- 1.5 mg/mL
- Storage
- -20°C
Submitted references Combined deletion and DNA methylation result in silencing of FAM107A gene in laryngeal tumors.
Kiwerska K, Szaumkessel M, Paczkowska J, Bodnar M, Byzia E, Kowal E, Kostrzewska-Poczekaj M, Janiszewska J, Bednarek K, Jarmuż-Szymczak M, Kalinowicz E, Wierzbicka M, Grenman R, Szyfter K, Marszałek A, Giefing M
Scientific reports 2017 Jul 14;7(1):5386
Scientific reports 2017 Jul 14;7(1):5386
No comments: Submit comment
Supportive validation
- Submitted by
- Invitrogen Antibodies (provider)
- Main image

- Experimental details
- Immunohistochemical analysis of FAM107A in paraffin embedded Human colon cancer tissue using FAM107A Polyclonal Antibody (Product # PA5-50409) at a 1:30 dilution.
- Submitted by
- Invitrogen Antibodies (provider)
- Main image

- Experimental details
- Immunohistochemical analysis of FAM107A in paraffin embedded Human liver cancer tissue using FAM107A Polyclonal Antibody (Product # PA5-50409) at a 1:30 dilution.
- Submitted by
- Invitrogen Antibodies (provider)
- Main image

- Experimental details
- Immunohistochemical analysis of FAM107A in paraffin embedded Human liver cancer tissue using FAM107A Polyclonal Antibody (Product # PA5-50409) at a 1:30 dilution.
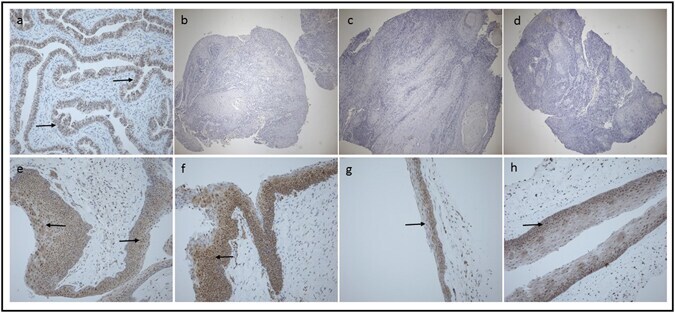
Supportive validation
- Submitted by
- Invitrogen Antibodies (provider)
- Main image

- Experimental details
- Figure 5 Microphotograph of immunohistochemically stained FAM107A protein in: fallopian tube (control) ( a ), LSCC ( b - d ) and non-tumor controls ( e - h ). Nucleus counterstained with hematoxylin, arrows indicate positive nuclear/cytoplasmic staining (brown), primary objective magnification 10x.