Antibody data
- Antibody Data
- Antigen structure
- References [0]
- Comments [0]
- Validations
- Immunohistochemistry [2]
Submit
Validation data
Reference
Comment
Report error
- Product number
- PA5-118013 - Provider product page

- Provider
- Invitrogen Antibodies
- Product name
- JRKL Polyclonal Antibody
- Antibody type
- Polyclonal
- Antigen
- Other
- Reactivity
- Human
- Host
- Rabbit
- Isotype
- IgG
- Vial size
- 100 μL
- Storage
- -20°C, Avoid Freeze/Thaw Cycles
No comments: Submit comment
Supportive validation
- Submitted by
- Invitrogen Antibodies (provider)
- Main image

- Experimental details
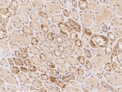
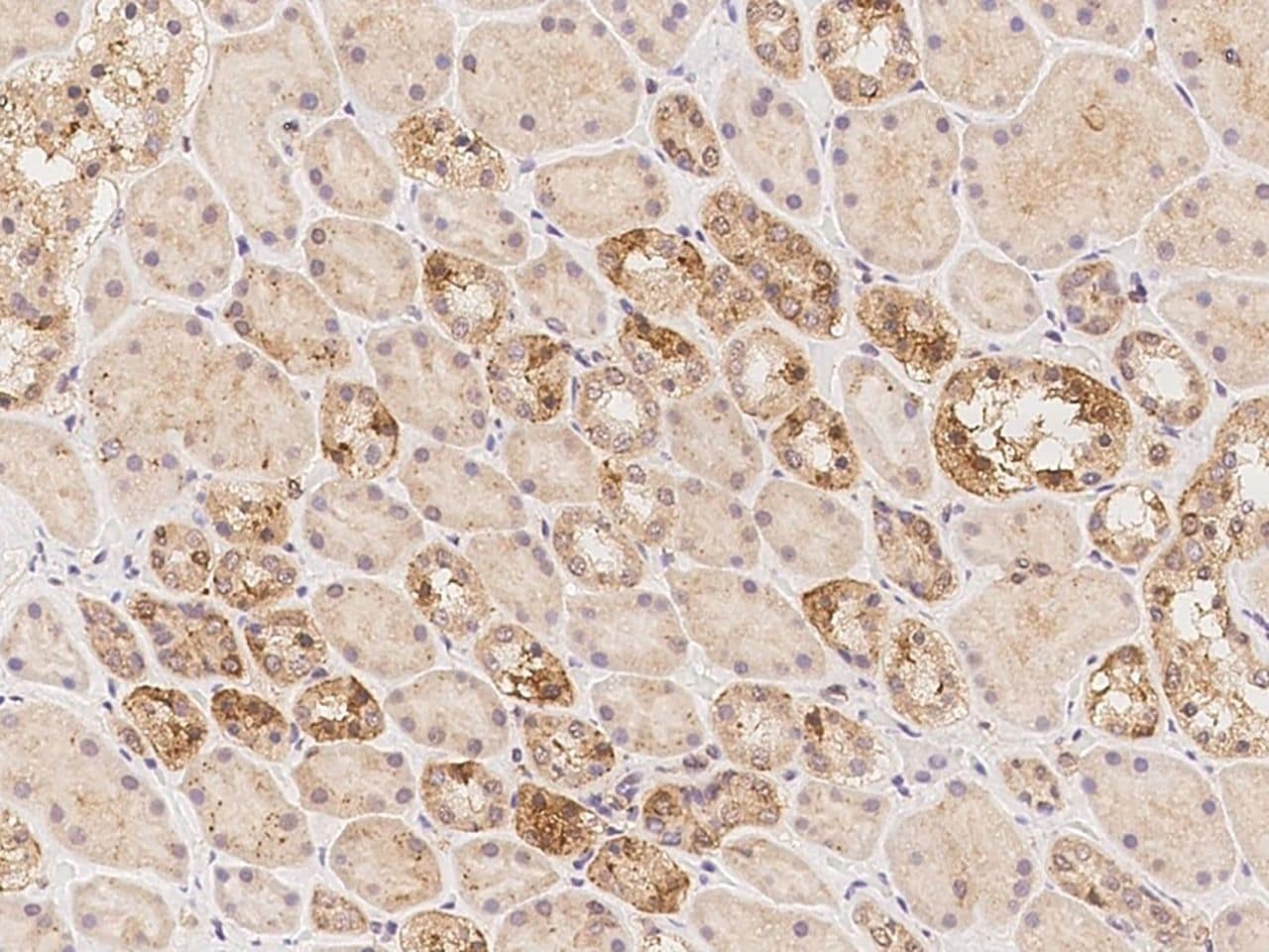
- Immunohistochemical staining of human JRKL in human kidney with JRKL Polyclonal Antibody (Product # PA5-118013, 1:1,000 dilution, formalin-fixed paraffin embedded sections).
- Submitted by
- Invitrogen Antibodies (provider)
- Main image

- Experimental details
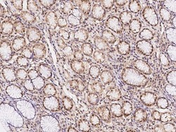
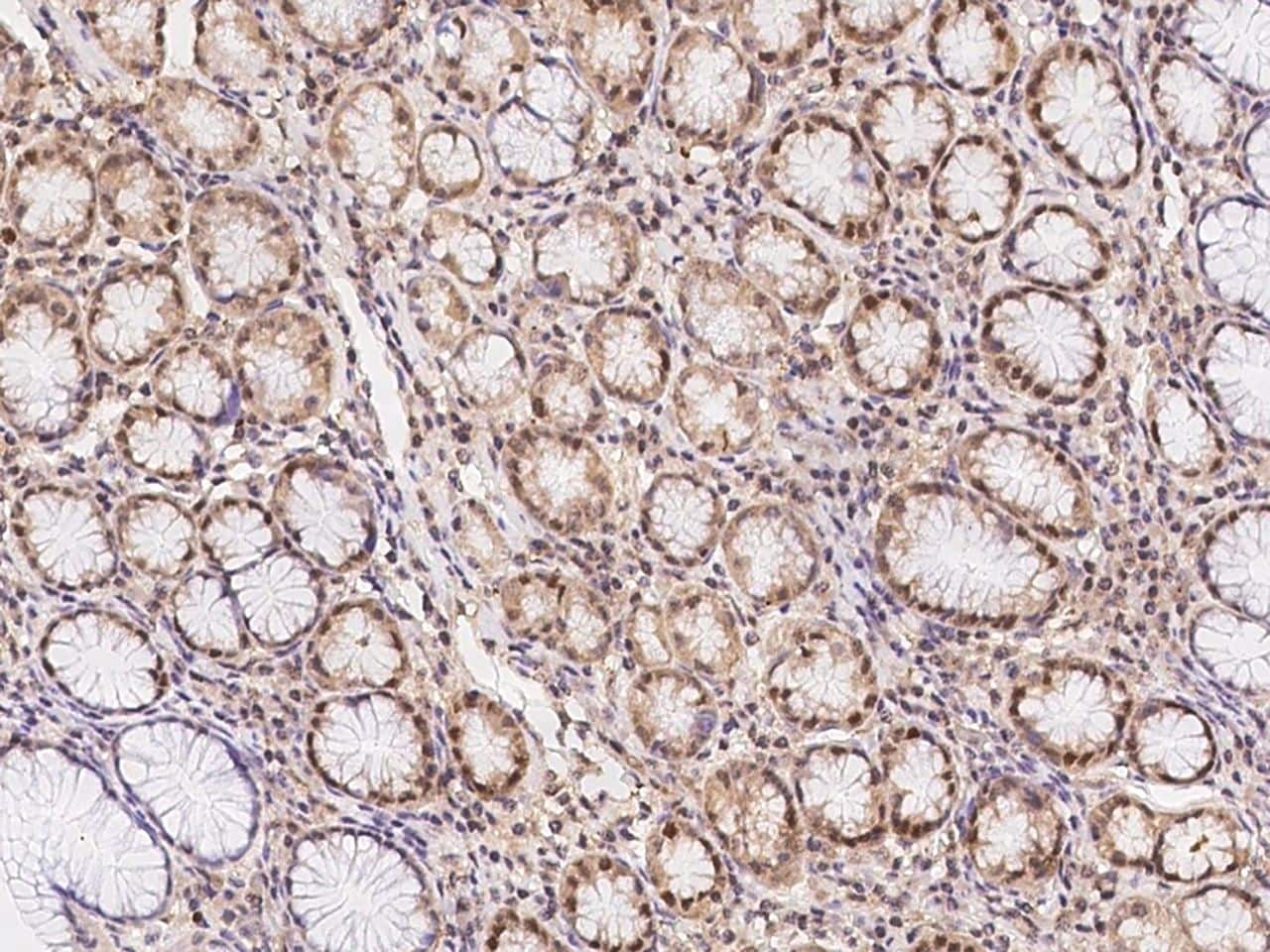
- Immunohistochemical staining of human JRKL in human stomach with JRKL Polyclonal Antibody (Product # PA5-118013, 1:1,000 dilution, formalin-fixed paraffin embedded sections).