Antibody data
- Antibody Data
- Antigen structure
- References [0]
- Comments [0]
- Validations
- Western blot [1]
- Immunohistochemistry [3]
Submit
Validation data
Reference
Comment
Report error
- Product number
- LS-C80052 - Provider product page

- Provider
- LSBio
- Proper citation
- LifeSpan Cat#LS-C80052, RRID:AB_2146357
- Product name
- MRPS15 Antibody (aa51-100) LS-C80052
- Antibody type
- Polyclonal
- Description
- Immunoaffinity purified
- Reactivity
- Human
- Host
- Rabbit
- Isotype
- IgG
- Storage
- Short term: Store at 2-8°C. Long term: Aliquot and store at -20°C. Avoid freeze/thaw cycles.
No comments: Submit comment
Enhanced validation
- Submitted by
- LSBio (provider)
- Enhanced method
- Genetic validation
- Main image

- Experimental details
- 721_B cell lysate. Antibody concentration: 0.5 ug/ml. Gel concentration: 12%. This image was taken for the unconjugated form of this product. Other forms have not been tested.
Enhanced validation
- Submitted by
- LSBio (provider)
- Enhanced method
- Genetic validation
- Main image

- Experimental details
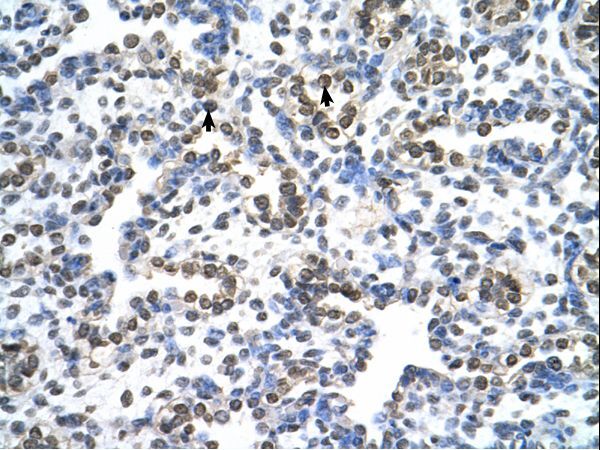
- MRPS15 antibody MRPS15(mitochondrial ribosomal protein S15) Antibody was used in IHC to stain formalin-fixed, paraffin-embedded human lung. This image was taken for the unconjugated form of this product. Other forms have not been tested.
- Submitted by
- LSBio (provider)
- Enhanced method
- Genetic validation
- Main image

- Experimental details
- MRPS15 antibody MRPS15(mitochondrial ribosomal protein S15) Antibody was used in IHC to stain formalin-fixed, paraffin-embedded human lung. This image was taken for the unconjugated form of this product. Other forms have not been tested.
- Submitted by
- LSBio (provider)
- Main image

- Experimental details
- MRPS15 antibody MRPS15(mitochondrial ribosomal protein S15) Antibody was used in IHC to stain formalin-fixed, paraffin-embedded human lung. This image was taken for the unconjugated form of this product. Other forms have not been tested.