Antibody data
- Antibody Data
- Antigen structure
- References [0]
- Comments [0]
- Validations
- Western blot [1]
- Immunohistochemistry [2]
Submit
Validation data
Reference
Comment
Report error
- Product number
- TA336975 - Provider product page

- Provider
- OriGene
- Product name
- Rabbit Polyclonal FAM3C Antibody
- Antibody type
- Polyclonal
- Description
- Rabbit Polyclonal FAM3C Antibody
- Host
- Rabbit
- Conjugate
- Unconjugated
- Epitope
- FAM3C
- Antibody clone number
- NULL
- Vial size
- 100 µg
- Concentration
- 0.5 mg/ml
No comments: Submit comment
Supportive validation
- Submitted by
- OriGene (provider)
- Main image

- Experimental details
- Western Blot: FAM3C Antibody [TA336975] - analysis of FAM3C in human brain lysate (0.5 ug/ml) 1) absence, 2) presence of immunizing peptide, 3) mouse brain lysate (0.5 ug/ml), and 4) in rat brain lysate (0.5 ug/ml) using FAM3C antibody.
- Validation comment
- WB
Supportive validation
- Submitted by
- OriGene (provider)
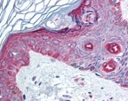
- Main image

- Experimental details
- Immunohistochemistry-Paraffin: FAM3C Antibody [TA336975] - IHC analysis of FAM3C in human skin using FAM3C antibody at 10 ug/ml.
- Validation comment
- IHC
- Submitted by
- OriGene (provider)
- Main image

- Experimental details
- Immunohistochemistry-Paraffin: FAM3C Antibody [TA336975] - staining of FAM3C using FAM3C antibody in normal human brain at 5 ug/ml (using control rabbit Ig for figure B).
- Validation comment
- IHC