Antibody data
- Antibody Data
- Antigen structure
- References [0]
- Comments [0]
- Validations
- Western blot [1]
- Immunohistochemistry [2]
Submit
Validation data
Reference
Comment
Report error
- Product number
- ARG65566 - Provider product page

- Provider
- Arigo
- Product name
- anti-NDUFA5 Antibody
- Antibody type
- Polyclonal
- Antigen
- Fusion protein of human NDUFA5
- Description
- Purified by antigen-affinity chromatography.
- Reactivity
- Human, Mouse, Rat
- Host
- Rabbit
- Isotype
- IgG
- Vial size
- 100 µl
- Concentration
- 2.8 mg/ml
- Storage
- Aliquot and store at -20°C or below. Storage in frost free freezers is not recommended. Avoid repeated freeze/thaw cycles. The antibody solution should be gently mixed before use.
- Handling
- The antibody solution should be gently mixed before use.
No comments: Submit comment
Supportive validation
- Submitted by
- Arigo (provider)
- Main image

- Experimental details
- Western Blot: ARG65566 NDUFA5 Antibody at 1/400 dilution with 40 µg of lysates.(1) Human hepatocellular carcinoma tissue(2) Human fetal brain tissueExposure time: 20 seconds.
Supportive validation
- Submitted by
- Arigo (provider)
- Main image

- Experimental details
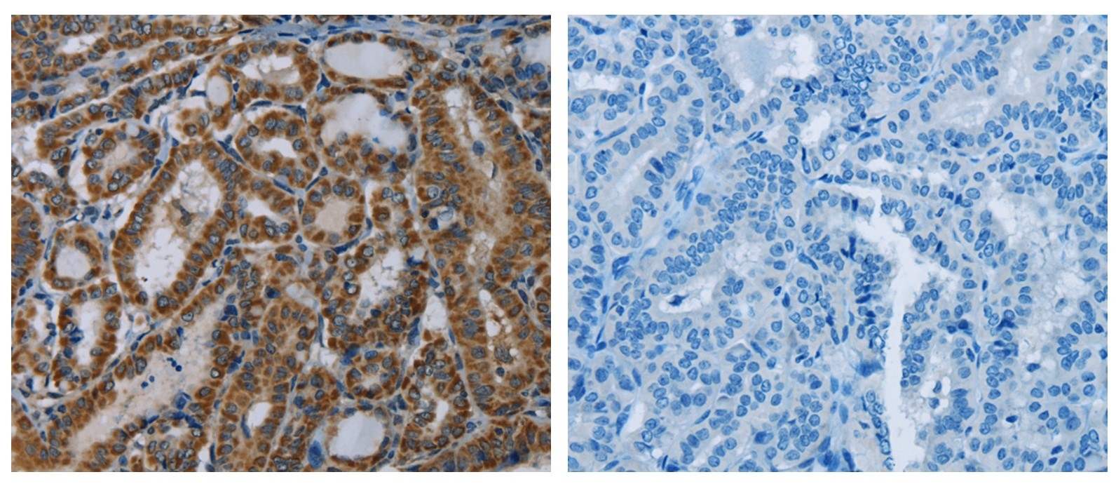
- Immunohistochemistry: paraffin-embedded Human thyroid cancer tissue stained with ARG65566 NDUFA5 Antibody (left) at 1/60 dilution, or the same antibody preincubated with fusion protein (right). (Original magnification: ¡Ñ200)
- Submitted by
- Arigo (provider)
- Main image

- Experimental details
- Immunohistochemistry: paraffin-embedded Human thyroid cancer tissue stained with ARG65566 NDUFA5 Antibody (left) at 1/60 dilution, or the same antibody preincubated with fusion protein (right). (Original magnification: ¡Ñ200)