Antibody data
- Antibody Data
- Antigen structure
- References [0]
- Comments [0]
- Validations
- Western blot [2]
- Immunohistochemistry [2]
Submit
Validation data
Reference
Comment
Report error
- Product number
- NBP1-33504 - Provider product page

- Provider
- Novus Biologicals
- Proper citation
- Novus Cat#NBP1-33504, RRID:AB_2150640
- Product name
- Rabbit Polyclonal NDUFA5 Antibody
- Antibody type
- Polyclonal
- Description
- Immunogen affinity purified.
- Reactivity
- Human, Mouse
- Host
- Rabbit
- Isotype
- IgG
- Vial size
- 100 ul
- Storage
- Aliquot and store at -20C or -80C. Avoid freeze-thaw cycles.
No comments: Submit comment
Supportive validation
- Submitted by
- Novus Biologicals (provider)
- Main image

- Experimental details
- Western Blot: NDUFA5 Antibody [NBP1-33504] - Sample (30 ug of whole cell lysate) A: Hep G2 15% SDS PAGE; antibody diluted at 1:1000.
- Submitted by
- Novus Biologicals (provider)
- Main image

- Experimental details
- Western Blot: NDUFA5 Antibody [NBP1-33504] - Sample (50 ug of whole cell lysate) A: mouse brain 15% SDS PAGE; antibody diluted at 1:1000.
Supportive validation
- Submitted by
- Novus Biologicals (provider)
- Main image

- Experimental details
- Immunohistochemistry-Paraffin: NDUFA5 Antibody [NBP1-33504] - Paraffin-embedded Cal27 xenograft, using antibody at 1:500 dilution.
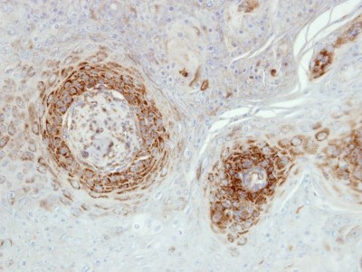
- Submitted by
- Novus Biologicals (provider)
- Main image

- Experimental details
- Immunohistochemistry-Paraffin: NDUFA5 Antibody [NBP1-33504] - NDUFA5 antibody detects NDUFA5 protein at mitochondria in human colon carcinoma by immunohistochemical analysis. Sample: Paraffin-embedded human colon carcinoma. NDUFA5 antibody diluted at 1:500.