Antibody data
- Antibody Data
 - Antigen structure
 - References [0]
 - Comments [0]
 - Validations
 - Western blot [1]
 - Immunocytochemistry [1]
 - Immunohistochemistry [5]
 - Flow cytometry [1]
 
Submit
Validation data
Reference
Comment
Report error
- Product number
 - RQ6525 - Provider product page

 - Provider
 - NSJ Bioreagents
 - Product name
 - TBC1D4 Antibody / AS160
 - Antibody type
 - Polyclonal
 - Description
 - This highly specific TBC1D4 antibody is suitable for use in Western blot/Immunohistochemistry/Immunofluorescence/Flow cytometry/Direct ELISA applications with human samples.
 - Reactivity
 - Human
 - Host
 - Rabbit
 - Conjugate
 - Unconjugated
 - Vial size
 - 100 ug
 - Concentration
 - 0.5mg/ml if reconstituted with 0.2ml sterile DI water
 - Storage
 - After reconstitution, the TBC1D4 antibody can be stored for up to one month at 4oC. For long-term, aliquot and store at -20oC. Avoid repeated freezing and thawing.
 
				No comments: Submit comment	
	
			
							
					Supportive validation
					
									
				
				- Submitted by
 - NSJ Bioreagents (provider)
 - Main image
 
- Experimental details
 - Western blot testing of human 1) Caco-2, 2) HeLa, 3) K562 and 4) HepG2 cell lysate with TBC1D4 antibody. Predicted molecular weight ~147 kDa but routinely observed at 147-160 kDa.
 
							
					Supportive validation
					
									
				
				- Submitted by
 - NSJ Bioreagents (provider)
 - Main image
 
- Experimental details
 - Immunofluorescent staining of FFPE human Caco-2 cells with TBC1D4 antibody (green) and DAPI nuclear stain (blue). HIER: steam section in pH6 citrate buffer for 20 min.
 
							
					Supportive validation
					
									
				
				- Submitted by
 - NSJ Bioreagents (provider)
 - Main image
 
- Experimental details
 - IHC staining of FFPE human ovarian cancer tissue with TBC1D4 antibody. HIER: boil tissue sections in pH8 EDTA for 20 min and allow to cool before testing.
 
- Submitted by
 - NSJ Bioreagents (provider)
 - Main image
 
- Experimental details
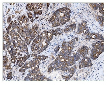
 - IHC staining of FFPE human colonic adenocarcinoma tissue with TBC1D4 antibody. HIER: boil tissue sections in pH8 EDTA for 20 min and allow to cool before testing.
 
- Submitted by
 - NSJ Bioreagents (provider)
 - Main image
 
- Experimental details
 - IHC staining of FFPE human gallbladder adenocarcinoma tissue with TBC1D4 antibody. HIER: boil tissue sections in pH8 EDTA for 20 min and allow to cool before testing.
 
- Submitted by
 - NSJ Bioreagents (provider)
 - Main image
 
- Experimental details
 - IHC staining of FFPE human lung cancer tissue with TBC1D4 antibody. HIER: boil tissue sections in pH8 EDTA for 20 min and allow to cool before testing.
 
- Submitted by
 - NSJ Bioreagents (provider)
 - Main image
 
- Experimental details
 - IHC staining of FFPE human renal clear cell carcinoma tissue with TBC1D4 antibody. HIER: boil tissue sections in pH8 EDTA for 20 min and allow to cool before testing.
 
							
					Supportive validation
					
									
				
		- Submitted by
 - NSJ Bioreagents (provider)
 - Main image
 
- Experimental details
 - Flow cytometry testing of human HeLa cells with TBC1D4 antibody at 1ug/million cells (blocked with goat sera); Red=cells alone, Green=isotype control, Blue= TBC1D4 antibody.