Antibody data
- Antibody Data
- Antigen structure
- References [1]
- Comments [0]
- Validations
- Western blot [2]
- Immunohistochemistry [6]
Submit
Validation data
Reference
Comment
Report error
- Product number
- NBP1-47935 - Provider product page

- Provider
- Novus Biologicals
- Proper citation
- Novus Cat#NBP1-47935, RRID:AB_10010927
- Product name
- Mouse Monoclonal Protein Kinase A regulatory subunit I alpha Antibody
- Antibody type
- Monoclonal
- Description
- Affinity purified. This antibody is specific for Homo sapiens protein kinase, cAMP-dependent, regulatory, type I, alpha (tissue specific extinguisher 1) (PRKAR1A), transcript variant 3.
- Reactivity
- Human
- Host
- Mouse
- Isotype
- IgG
- Vial size
- 0.1 ml
- Concentration
- 1 mg/ml
- Storage
- Store at -20C. Avoid freeze-thaw cycles.
Submitted references Protein kinase A-dependent phosphorylation stimulates the transcriptional activity of hypoxia-inducible factor 1.
Bullen JW, Tchernyshyov I, Holewinski RJ, DeVine L, Wu F, Venkatraman V, Kass DL, Cole RN, Van Eyk J, Semenza GL
Science signaling 2016 May 31;9(430):ra56
Science signaling 2016 May 31;9(430):ra56
No comments: Submit comment
Supportive validation
- Submitted by
- Novus Biologicals (provider)
- Main image

- Experimental details
- Western Blot: Protein Kinase A regulatory subunit I alpha Antibody (6C7) [NBP1-47935] - HEK293T cells were transfected with the pCMV6-ENTRY control (Left lane) or pCMV6-ENTRY Protein Kinase A regulatory subunit I alpha (Right lane) cDNA for 48 hrs and lysed. Equivalent amounts of cell lysates (5 ug per lane) were separated by SDS-PAGE and immunoblotted with anti-Protein Kinase A regulatory subunit I alpha.
- Submitted by
- Novus Biologicals (provider)
- Main image

- Experimental details
- Western Blot: Protein Kinase A regulatory subunit I alpha Antibody (6C7) [NBP1-47935] Analysis of extracts (35ug) from 9 different cell lines by using anti-Protein Kinase A regulatory subunit I alpha monoclonal antibody.
Supportive validation
- Submitted by
- Novus Biologicals (provider)
- Main image

- Experimental details
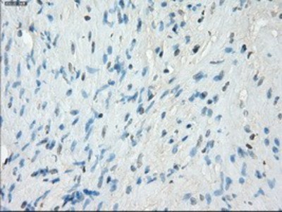
- Immunohistochemistry-Paraffin: Protein Kinase A regulatory subunit I alpha Antibody (6C7) [NBP1-47935] - Staining of paraffin-embedded Adenocarcinoma of breast tissue using anti-Protein Kinase A regulatory subunit I alpha mouse monoclonal antibody.
- Submitted by
- Novus Biologicals (provider)
- Main image

- Experimental details
- Immunohistochemistry-Paraffin: Protein Kinase A regulatory subunit I alpha Antibody (6C7) [NBP1-47935] - Staining of paraffin-embedded colon tissue using anti-Protein Kinase A regulatory subunit I alpha mouse monoclonal antibody.
- Submitted by
- Novus Biologicals (provider)
- Main image

- Experimental details
- Immunohistochemistry-Paraffin: Protein Kinase A regulatory subunit I alpha Antibody (6C7) [NBP1-47935] - Staining of paraffin-embedded endometrium tissue using anti-Protein Kinase A regulatory subunit I alpha mouse monoclonal antibody.
- Submitted by
- Novus Biologicals (provider)
- Main image

- Experimental details
- Immunohistochemistry-Paraffin: Protein Kinase A regulatory subunit I alpha Antibody (6C7) [NBP1-47935] - Staining of paraffin-embedded Ovary tissue using anti-Protein Kinase A regulatory subunit I alpha mouse monoclonal antibody.
- Submitted by
- Novus Biologicals (provider)
- Main image

- Experimental details
- Immunohistochemistry-Paraffin: Protein Kinase A regulatory subunit I alpha Antibody (6C7) [NBP1-47935] - Staining of paraffin-embedded prostate tissue using anti-Protein Kinase A regulatory subunit I alpha mouse monoclonal antibody.
- Submitted by
- Novus Biologicals (provider)
- Main image

- Experimental details
- Immunohistochemistry-Paraffin: Protein Kinase A regulatory subunit I alpha Antibody (OTI6C7) [NBP1-47935] - Staining of paraffin-embedded carcinoma of bladder tissue (Heat-induced epitope retrieval by 10mM citric buffer, pH6.0, 100C for 10min, Dilution 1:50).