Antibody data
- Antibody Data
- Antigen structure
- References [2]
- Comments [0]
- Validations
- Western blot [1]
- Immunohistochemistry [1]
- Other assay [1]
Submit
Validation data
Reference
Comment
Report error
- Product number
- PA5-40327 - Provider product page

- Provider
- Invitrogen Antibodies
- Product name
- TCF7L1 Polyclonal Antibody
- Antibody type
- Polyclonal
- Antigen
- Synthetic peptide
- Description
- Peptide sequence: NDELIPFQDE GGEEQEPSSD SASAQRDLDE VKSSLVNESE NQSSSSDSEA Sequence homology: Cow: 100%; Dog: 100%; Guinea Pig: 100%; Human: 100%; Mouse: 100%; Rat: 100%
- Reactivity
- Human
- Host
- Rabbit
- Isotype
- IgG
- Vial size
- 100 μL
- Concentration
- 0.5 mg/mL
- Storage
- -20°C, Avoid Freeze/Thaw Cycles
Submitted references NMD is required for timely cell fate transitions by fine-tuning gene expression and regulating translation.
A β-catenin-driven switch in TCF/LEF transcription factor binding to DNA target sites promotes commitment of mammalian nephron progenitor cells.
Huth M, Santini L, Galimberti E, Ramesmayer J, Titz-Teixeira F, Sehlke R, Oberhuemer M, Stummer S, Herzog V, Garmhausen M, Romeike M, Chugunova A, Leesch F, Holcik L, Weipoltshammer K, Lackner A, Schoefer C, von Haeseler A, Buecker C, Pauli A, Ameres SL, Smith A, Beyer A, Leeb M
Genes & development 2022 Mar 1;36(5-6):348-367
Genes & development 2022 Mar 1;36(5-6):348-367
A β-catenin-driven switch in TCF/LEF transcription factor binding to DNA target sites promotes commitment of mammalian nephron progenitor cells.
Guo Q, Kim A, Li B, Ransick A, Bugacov H, Chen X, Lindström N, Brown A, Oxburgh L, Ren B, McMahon AP
eLife 2021 Feb 15;10
eLife 2021 Feb 15;10
No comments: Submit comment
Supportive validation
- Submitted by
- Invitrogen Antibodies (provider)
- Main image

- Experimental details
- Western blot analysis of human 293T cell lysate using an anti-TCF7L1 polyclonal antibody (Product # PA5-40327).
Supportive validation
- Submitted by
- Invitrogen Antibodies (provider)
- Main image

- Experimental details
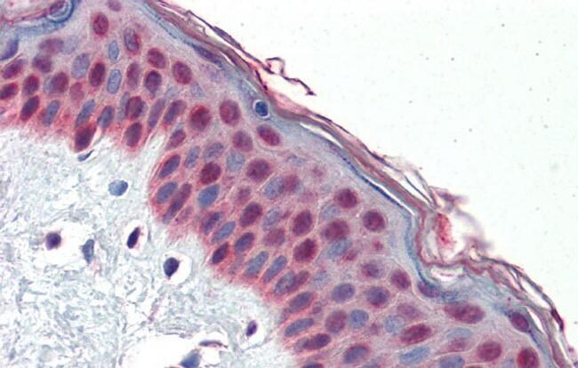
- Immunohistochemistry analysis of human skin tissue using an anti-TCF7L1 polyclonal antibody (Product # PA5-40327).
Supportive validation
- Submitted by
- Invitrogen Antibodies (provider)
- Main image

- Experimental details
- Figure 4. Increased CHIR99021 (CHIR) dosage induces a switch of TCF/LEF factors binding to the genome. ( A, B ) Genome browser view of Wnt4 enhancer locus showing ChIP-Seq signal of TCF/LEF factors in low and high CHIR conditions. ( C ) Histograms showing binding intensity of TCF/LEF factors and chromatin markers on the three sets of TCF/LEF binding sites assigned by overlap of low CHIR Tcf7l1 and high CHIR Lef1 binding sites. ( D ) Result from de novo motif discovery of the three sets of TCF/LEF binding sites described in A. ( E ) Top Gene Ontology (GO) terms associated with the corresponding sets of TCF/LEF binding sites shown in B. ( F ) Percentage of TCF/LEF target genes belonging to different sets in differential expressed genes specific to low CHIR or high CHIR conditions as described in Figure 1 . ( G ) Venn diagram showing overlap of set 2 and 3 target genes assigned by GREAT (). ( H ) Histograms showing quantification of reads from the indicated data sets in +-2 kb of beta-catenin binding sites in high CHIR condition. Figure 4--figure supplement 1. Supplementary ChIP-Seq data analysis. ( A ) Numbers of and overlap between binding sites of the same factors between different conditions. ( B ) Numbers of and overlap between binding sites of different factors in the same conditions. ( C ) Most enriched motifs by de novo discovery (Homer) from binding sites of the data sets indicated. ( D ) Hierarchical clustering of normalized read counts of ChIP-Seq data sets on merged