Antibody data
- Antibody Data
- Antigen structure
- References [0]
- Comments [0]
- Validations
- Immunohistochemistry [3]
Submit
Validation data
Reference
Comment
Report error
- Product number
- PA5-79287 - Provider product page

- Provider
- Invitrogen Antibodies
- Product name
- FUT1 Polyclonal Antibody
- Antibody type
- Polyclonal
- Antigen
- Synthetic peptide
- Description
- Reconstitute with 0.2 mL of distilled water to yield a concentration of 500 µg/mL. Positive Control - WB: Rat Kidney Tissue, SW620 whole cell, A549 whole cell. IHC: mouse intestine tissue, rat intestine tissue, human mammary cancer tissue.
- Reactivity
- Human, Mouse, Rat
- Host
- Rabbit
- Isotype
- IgG
- Vial size
- 100 μg
- Concentration
- 500 μg/mL
- Storage
- -20°C
No comments: Submit comment
Supportive validation
- Submitted by
- Invitrogen Antibodies (provider)
- Main image

- Experimental details
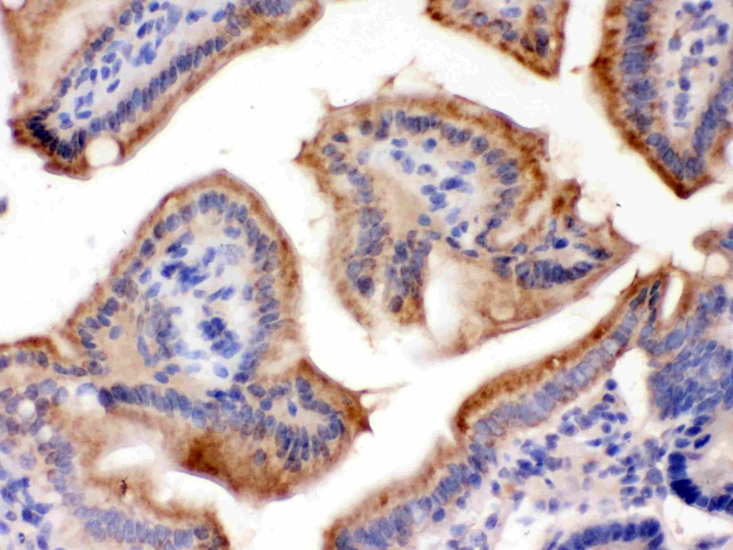
- Immunohistochemistry analysis of FUT1 on paraffin-embedded rat intestine tissue. Sample was incubated with FUT1 polyclonal antibody (Product# PA5-79287).
- Submitted by
- Invitrogen Antibodies (provider)
- Main image

- Experimental details
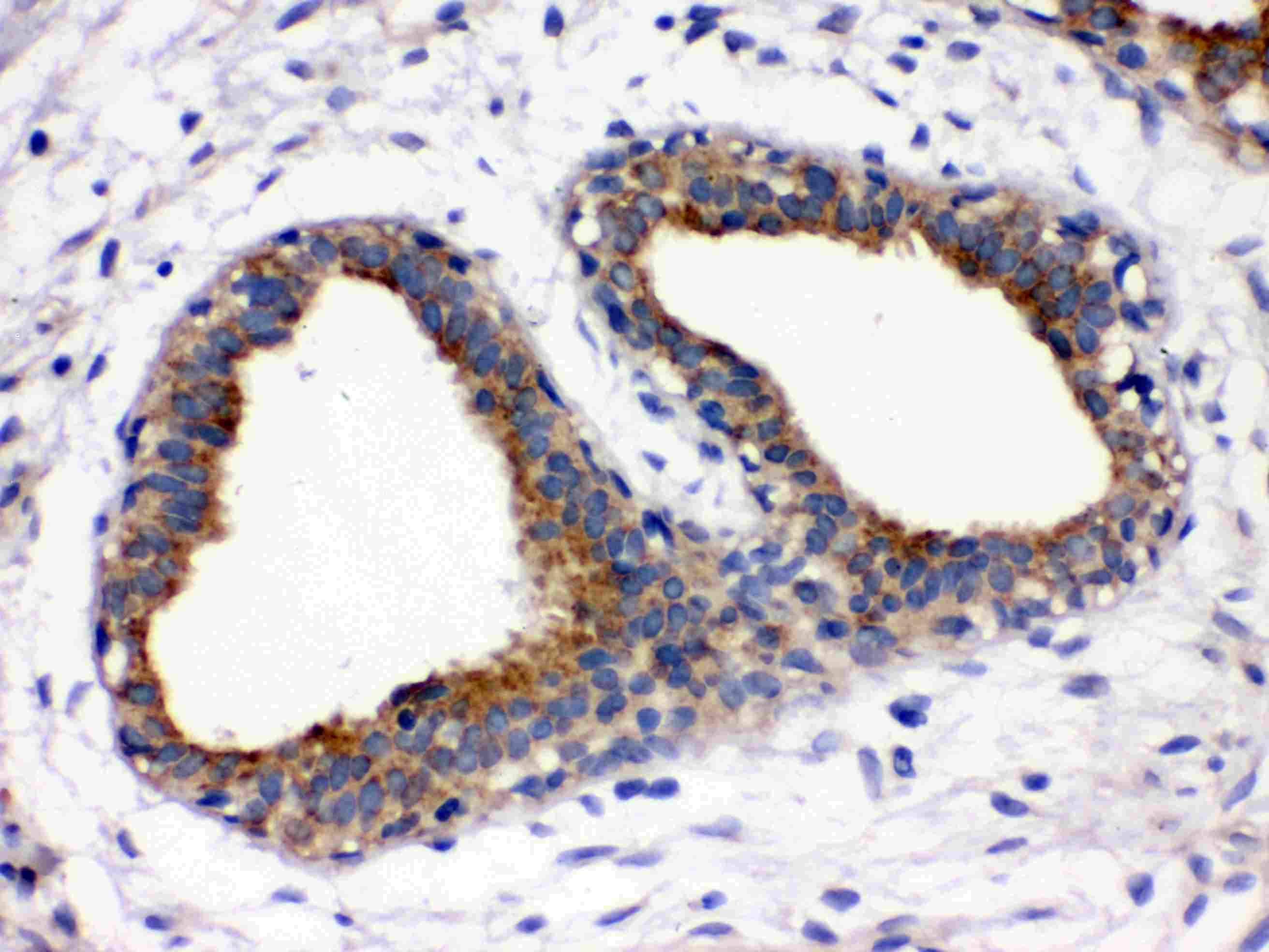
- Immunohistochemistry analysis of FUT1 on paraffin-embedded human mammary cancer tissue. Sample was incubated with FUT1 polyclonal antibody (Product# PA5-79287).
- Submitted by
- Invitrogen Antibodies (provider)
- Main image

- Experimental details
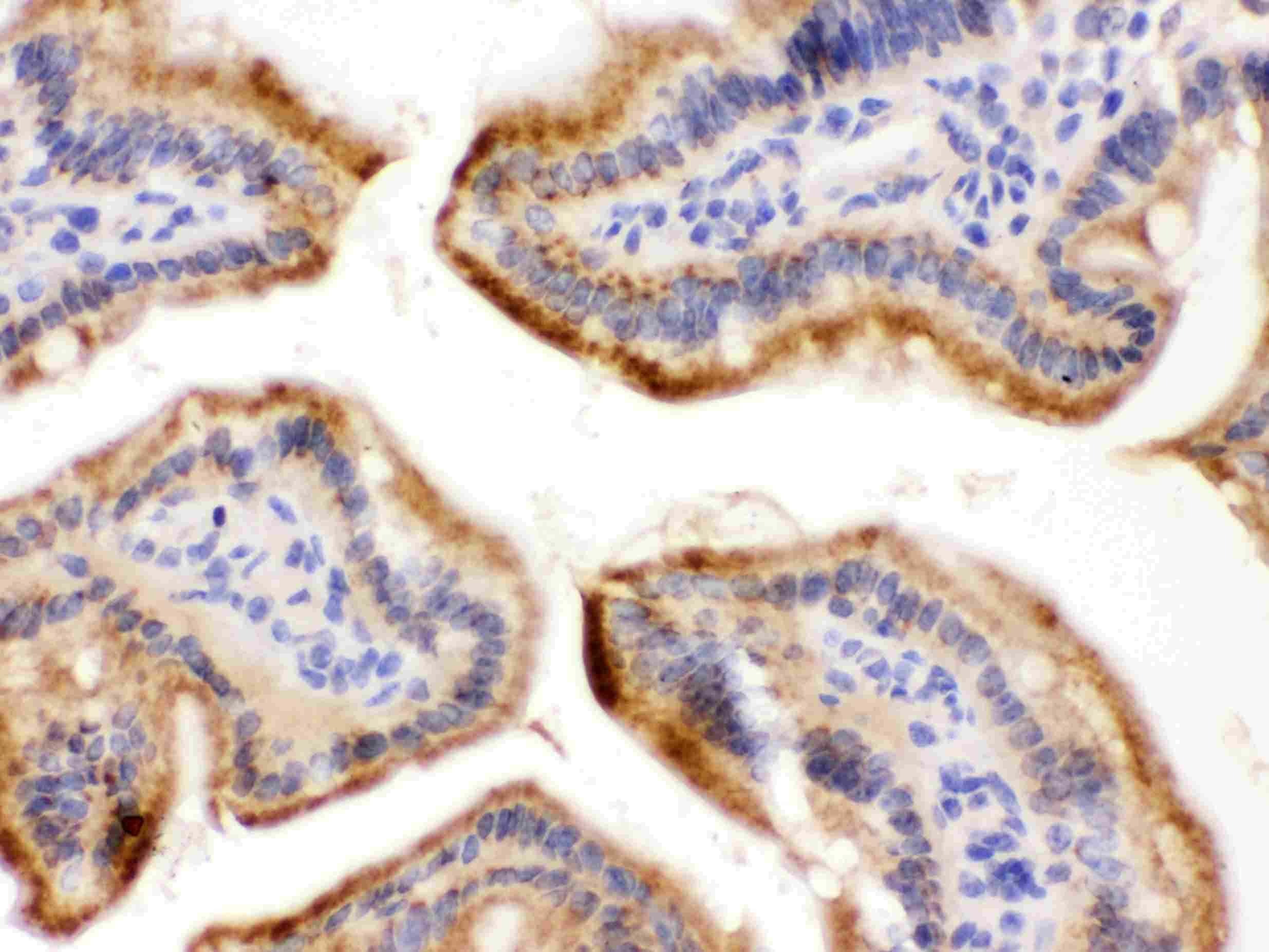
- Immunohistochemistry analysis of FUT1 on paraffin-embedded mouse intestine tissue. Sample was incubated with FUT1 polyclonal antibody (Product# PA5-79287).