Antibody data
- Antibody Data
- Antigen structure
- References [1]
- Comments [0]
- Validations
- Western blot [2]
- Immunocytochemistry [1]
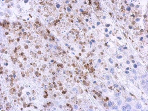
- Immunohistochemistry [1]
Submit
Validation data
Reference
Comment
Report error
- Product number
- GTX119546 - Provider product page

- Provider
- GeneTex
- Proper citation
- GeneTex Cat#GTX119546, RRID:AB_10618366
- Product name
- U1SNRNPBP antibody [N2C3]
- Antibody type
- Polyclonal
- Reactivity
- Human, Mouse
- Host
- Rabbit
Submitted references Resources for the Comprehensive Discovery of Functional RNA Elements.
Sundararaman B, Zhan L, Blue SM, Stanton R, Elkins K, Olson S, Wei X, Van Nostrand EL, Pratt GA, Huelga SC, Smalec BM, Wang X, Hong EL, Davidson JM, Lécuyer E, Graveley BR, Yeo GW
Molecular cell 2016 Mar 17;61(6):903-13
Molecular cell 2016 Mar 17;61(6):903-13
No comments: Submit comment
Supportive validation
- Submitted by
- GeneTex (provider)
- Main image

- Experimental details
- Sample (50 ug of whole cell lysate) A: mouse brain 12% SDS PAGE GTX119546 diluted at 1:1000
- Submitted by
- GeneTex (provider)
- Main image

- Experimental details
- Sample (30 ug of whole cell lysate) A: U87-MG 12% SDS PAGE GTX119546 diluted at 1:1000
Supportive validation
- Submitted by
- GeneTex (provider)
- Main image

- Experimental details
- U1SNRNPBP antibody [N2C3] detects U1SNRNPBP protein at nucleus by immunofluorescent analysis.Sample: U87-MG cells were fixed in 4% paraformaldehyde at RT for 15 min.Green: U1SNRNPBP protein stained by U1SNRNPBP antibody [N2C3] (GTX119546) diluted at 1:500.Blue: Hoechst 33342 staining.
Supportive validation
- Submitted by
- GeneTex (provider)
- Main image

- Experimental details
- Immunohistochemical analysis of paraffin-embedded Hela xenograft, using U1SNRNPBP(GTX119546) antibody at 1:500 dilution.