Antibody data
- Antibody Data
- Antigen structure
- References [4]
- Comments [0]
- Validations
- Western blot [1]
- Immunohistochemistry [7]
- Flow cytometry [1]
Submit
Validation data
Reference
Comment
Report error
- Product number
- NBP2-03886 - Provider product page

- Provider
- Novus Biologicals
- Product name
- Mouse Monoclonal Slug Antibody
- Antibody type
- Monoclonal
- Description
- Affinity purified.
- Reactivity
- Human, Mouse
- Host
- Mouse
- Isotype
- IgG
- Vial size
- 0.1 ml
- Concentration
- 1 mg/ml
- Storage
- Store at -20C. Avoid freeze-thaw cycles.
Submitted references SLUG/HIF1-α/miR-221 regulatory circuit in endometrial cancer.
Immunoexpression of transcription factors in urothelial bladder carcinomas.
Maxillary calcifying epithelial odontogenic tumor with sinus and buccal vestibule extension: a case report and immunohistochemical study.
The prognostic role of the epithelial-mesenchymal transition markers E-cadherin and Slug in laryngeal squamous cell carcinoma.
Penolazzi L, Bonaccorsi G, Gafà R, Ravaioli N, Gabriele D, Bosi C, Lanza G, Greco P, Piva R
Gene 2019 Aug 30;711:143938
Gene 2019 Aug 30;711:143938
Immunoexpression of transcription factors in urothelial bladder carcinomas.
Stepan AE, Ciurea RN, Drăgoescu PO, Florescu MM, Stepan MD
Romanian journal of morphology and embryology = Revue roumaine de morphologie et embryologie 2017;58(3):863-869
Romanian journal of morphology and embryology = Revue roumaine de morphologie et embryologie 2017;58(3):863-869
Maxillary calcifying epithelial odontogenic tumor with sinus and buccal vestibule extension: a case report and immunohistochemical study.
Munteanu C, Pirici D, Stepan AE, Camen A, Margaritescu C
Diagnostic pathology 2016 Nov 21;11(1):134
Diagnostic pathology 2016 Nov 21;11(1):134
The prognostic role of the epithelial-mesenchymal transition markers E-cadherin and Slug in laryngeal squamous cell carcinoma.
Cappellesso R, Marioni G, Crescenzi M, Giacomelli L, Guzzardo V, Mussato A, Staffieri A, Martini A, Blandamura S, Fassina A
Histopathology 2015 Oct;67(4):491-500
Histopathology 2015 Oct;67(4):491-500
No comments: Submit comment
Supportive validation
- Submitted by
- Novus Biologicals (provider)
- Main image

- Experimental details
- Western Blot: SLUG Antibody (1A6) [NBP2-03886] - HEK293T cells were transfected with the pCMV6-ENTRY control (Left lane) or pCMV6-ENTRY SLUG (Right lane) cDNA for 48 hrs and lysed. Equivalent amounts of cell lysates (5 ug per lane) were separated by SDS-PAGE and immunoblotted with anti-SLUG.
Supportive validation
- Submitted by
- Novus Biologicals (provider)
- Main image

- Experimental details
- Immunohistochemistry-Paraffin: SLUG Antibody (1A6) [NBP2-03886] - Staining of paraffin-embedded Adenocarcinoma of Human endometrium tissue using anti-SLUG mouse monoclonal antibody.
- Submitted by
- Novus Biologicals (provider)
- Main image

- Experimental details
- Immunohistochemistry-Paraffin: SLUG Antibody (1A6) [NBP2-03886] - Staining of paraffin-embedded Carcinoma of Human bladder tissue using anti-SLUG mouse monoclonal antibody.
- Submitted by
- Novus Biologicals (provider)
- Main image

- Experimental details
- Immunohistochemistry-Paraffin: SLUG Antibody (1A6) [NBP2-03886] - Staining of paraffin-embedded Carcinoma of Human lung tissue using anti-SLUG mouse monoclonal antibody.
- Submitted by
- Novus Biologicals (provider)
- Main image

- Experimental details
- Immunohistochemistry-Paraffin: SLUG Antibody (1A6) [NBP2-03886] - Staining of paraffin-embedded Carcinoma of Human thyroid tissue using anti-SLUG mouse monoclonal antibody.
- Submitted by
- Novus Biologicals (provider)
- Main image

- Experimental details
- Immunohistochemistry-Paraffin: SLUG Antibody (1A6) [NBP2-03886] - Staining of paraffin-embedded Human Kidney tissue using anti-SLUG mouse monoclonal antibody.
- Submitted by
- Novus Biologicals (provider)
- Main image

- Experimental details
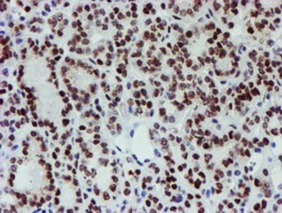
- Immunohistochemistry-Paraffin: SLUG Antibody (1A6) [NBP2-03886] Staining of paraffin-embedded Human lymphoma tissue using anti-SLUG mouse monoclonal antibody.
- Submitted by
- Novus Biologicals (provider)
- Main image

- Experimental details
- Immunohistochemistry-Paraffin: Slug Antibody (1A6) [NBP2-03886] - Mouse glioma stained with Slug antibody. Image from verified customer review.
Supportive validation
- Submitted by
- Novus Biologicals (provider)
- Main image

- Experimental details
- Flow Cytometry: SLUG Antibody (1A6) [NBP2-03886] - HEK293T cells transfected with either overexpression plasmid (Red) or empty vector control plasmid (Blue) were immunostained by anti-SLUG antibody, and then analyzed by flow cytometry.