Antibody data
- Antibody Data
- Antigen structure
- References [0]
- Comments [0]
- Validations
- Western blot [2]
- Immunohistochemistry [8]
Submit
Validation data
Reference
Comment
Report error
- Product number
- NBP2-47610 - Provider product page

- Provider
- Novus Biologicals
- Product name
- Rabbit Polyclonal SUCLG2 Antibody
- Antibody type
- Polyclonal
- Description
- Immunogen affinity purified. Specificity of human SUCLG2 antibody verified on a Protein Array containing target protein plus 383 other non-specific proteins.
- Reactivity
- Human
- Host
- Rabbit
- Isotype
- IgG
- Vial size
- 0.1 ml
- Storage
- Store at 4C short term. Aliquot and store at -20C long term. Avoid freeze-thaw cycles.
No comments: Submit comment
Supportive validation
- Submitted by
- Novus Biologicals (provider)
- Main image

- Experimental details
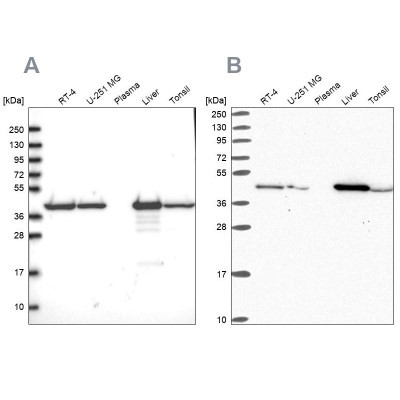
- Western Blot: SUCLG2 Antibody [NBP2-47610] - Analysis using Anti-SUCLG2 antibody NBP2-47610 (A) shows similar pattern to independent antibody NBP2-49029 (B).
- Submitted by
- Novus Biologicals (provider)
- Main image

- Experimental details
- Western Blot: SUCLG2 Antibody [NBP2-47610] - Analysis using Anti-SUCLG2 antibody NBP2-47610 (A) shows similar pattern to independent antibody NBP2-49029 (B).
Supportive validation
- Submitted by
- Novus Biologicals (provider)
- Main image

- Experimental details
- Immunohistochemistry-Paraffin: SUCLG2 Antibody [NBP2-47610] - Staining of human colon shows strong positivity in mitochondria in glandular cells.
- Submitted by
- Novus Biologicals (provider)
- Main image

- Experimental details
- Immunohistochemistry-Paraffin: SUCLG2 Antibody [NBP2-47610] - Staining of human kidney shows strong positivity in mitochondria in cells in tubules.
- Submitted by
- Novus Biologicals (provider)
- Main image

- Experimental details
- Immunohistochemistry-Paraffin: SUCLG2 Antibody [NBP2-47610] - Staining of human pancreas shows weak to moderate positivity in mitochondria in exocrine glandular cells.
- Submitted by
- Novus Biologicals (provider)
- Main image

- Experimental details
- Immunohistochemistry-Paraffin: SUCLG2 Antibody [NBP2-47610] - Staining of human kidney, liver, pancreas and testis using Anti-SUCLG2 antibody NBP2-47610 (A) shows similar protein distribution across tissues to independent antibody NBP2-49029 (B).
- Submitted by
- Novus Biologicals (provider)
- Main image

- Experimental details
- Immunohistochemistry-Paraffin: SUCLG2 Antibody [NBP2-47610] - Staining of human testis.
- Submitted by
- Novus Biologicals (provider)
- Main image

- Experimental details
- Immunohistochemistry-Paraffin: SUCLG2 Antibody [NBP2-47610] - Staining of human kidney using Anti-SUCLG2 antibody NBP2-47610.
- Submitted by
- Novus Biologicals (provider)
- Main image

- Experimental details
- Immunohistochemistry-Paraffin: SUCLG2 Antibody [NBP2-47610] - Staining of human pancreas using Anti-SUCLG2 antibody NBP2-47610.
- Submitted by
- Novus Biologicals (provider)
- Main image

- Experimental details
- Immunohistochemistry-Paraffin: SUCLG2 Antibody [NBP2-47610] - Staining of human liver.