Antibody data
- Antibody Data
- Antigen structure
- References [0]
- Comments [0]
- Validations
- Western blot [1]
- Immunohistochemistry [2]
Submit
Validation data
Reference
Comment
Report error
- Product number
- 66053-1-Ig - Provider product page

- Provider
- Proteintech Group
- Proper citation
- Proteintech Cat#66053-1-Ig, RRID:AB_11043342
- Product name
- NDUFS5 antibody
- Antibody type
- Monoclonal
- Description
- NDUFS5 antibody (Cat. #66053-1-Ig) is a mouse monoclonal antibody that shows reactivity with human and has been validated for the following applications: IHC, WB, ELISA.
- Reactivity
- Human
- Host
- Mouse
- Conjugate
- Unconjugated
- Isotype
- IgG
- Antibody clone number
- 2C2A5
- Vial size
- 20ul, 150ul
No comments: Submit comment
Supportive validation
- Submitted by
- Proteintech Group (provider)
- Main image

- Experimental details
- human kidney tissue were subjected to SDS PAGE followed by western blot with 66053-1-Ig(NDUFS5 antibody) at dilution of 1:1000
- Sample type
- tissue
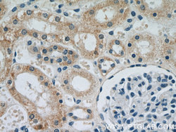
Supportive validation
- Submitted by
- Proteintech Group (provider)
- Main image

- Experimental details
- Immunohistochemical of paraffin-embedded human kidney using 66053-1-Ig(NDUFS5 antibody) at dilution of 1:50 (under 10x lens)
- Sample type
- tissue
- Submitted by
- Proteintech Group (provider)
- Main image

- Experimental details
- The NDUFS5 antibody from Proteintech is a mouse monoclonal antibody to a fusion protein of human NDUFS5. This antibody recognizes human antigen. The NDUFS5 antibody has been validated for the following applications: ELISA, WB, IHC analysis.