Antibody data
- Antibody Data
- Antigen structure
- References [0]
- Comments [0]
- Validations
- Western blot [1]
- Immunohistochemistry [3]
Submit
Validation data
Reference
Comment
Report error
- Product number
- ABIN2736517 - Provider product page

- Provider
- antibodies-online
- Product name
- anti-Chorionic Gonadotropin, beta Polypeptide 7 (CGB7) antibody
- Antibody type
- Polyclonal
- Description
- Affinity purification
- Reactivity
- Human, Mouse
- Host
- Rabbit
- Isotype
- IgG
- Vial size
- 100 μL
- Storage
- Store at -20°C.
- Handling
- Avoid repeated freeze/thaw cycles.
No comments: Submit comment
Supportive validation
- Submitted by
- antibodies-online (provider)
- Main image

- Experimental details
- WB
Supportive validation
- Submitted by
- antibodies-online (provider)
- Main image

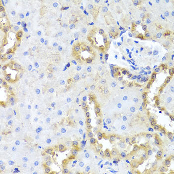
- Experimental details
- IHC
- Submitted by
- antibodies-online (provider)
- Main image

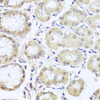
- Experimental details
- IHC
- Submitted by
- antibodies-online (provider)
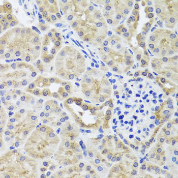
- Main image

- Experimental details
- IHC