Antibody data
- Antibody Data
- Antigen structure
- References [0]
- Comments [0]
- Validations
- Western blot [2]
- Immunohistochemistry [1]
- Flow cytometry [1]
Submit
Validation data
Reference
Comment
Report error
- Product number
- AP51399PU-N - Provider product page

- Provider
- OriGene
- Product name
- EIF4A2 (C-term) rabbit polyclonal antibody, Aff - Purified
- Antibody type
- Polyclonal
- Description
- EIF4A2 (C-term) rabbit polyclonal antibody, Aff - Purified
- Host
- Rabbit
- Conjugate
- Unconjugated
- Epitope
- EIF4A2
- Antibody clone number
- NULL
- Vial size
- 400 µl
- Concentration
- lot specific
No comments: Submit comment
Supportive validation
- Submitted by
- OriGene (provider)
- Main image

- Experimental details
- Western blot analysis of EIF4A2 Antibody (C-term) in K562 cell line lysates (35ug/lane). EIF4A2 (arrow) was detected using the purified Pab.
- Validation comment
- WB
- Submitted by
- OriGene (provider)
- Main image

- Experimental details
- Western blot analysis of EIF4A2 (arrow) using rabbit polyclonal EIF4A2 Antibody (C-term) . 293 cell lysates (2 ug/lane) either nontransfected (Lane 1) or transiently transfected (Lane 2) with the EIF4A2 gene.
- Validation comment
- WB
Supportive validation
- Submitted by
- OriGene (provider)
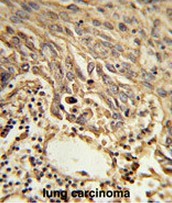
- Main image

- Experimental details
- Formalin-fixed and paraffin-embedded human lung carcinoma reacted with EIF4A2 Antibody (C-term), which was peroxidase-conjugated to the secondary antibody, followed by DAB staining. This data demonstrates the use of this antibody for immunohistochemistry; clinical relevance has not been evaluated.
- Validation comment
- IHC
Supportive validation
- Submitted by
- OriGene (provider)
- Main image

- Experimental details
- EIF4A2 Antibody (C-term) flow cytometry analysis of K562 cells (bottom histogram) compared to a negative control cell (top histogram).FITC-conjugated goat-anti-rabbit secondary antibodies were used for the analysis.
- Validation comment
- FC