PA5-61554
antibody from Invitrogen Antibodies
		Targeting: DHX37
		
		DDX37, Dhr1, KIAA1517, MGC2695, MGC4322	
	
	
	
	
Antibody data
- Antibody Data
- Antigen structure
- References [0]
- Comments [0]
- Validations
- Immunocytochemistry [2]
- Immunohistochemistry [8]
Submit
Validation data
Reference
Comment
Report error
- Product number
- PA5-61554 - Provider product page 
- Provider
- Invitrogen Antibodies
- Product name
- DHX37 Polyclonal Antibody
- Antibody type
- Polyclonal
- Antigen
- Recombinant protein fragment
- Description
- Immunogen sequence: VGACEYASCT PQFCEANGLR YKAMMEIRRL RGQLTTAVNA VCPEAELFVD PKMQPPTESQ VTYLRQIVTA GLGDHLARRV QSEEMLEDKW RNAYKTPLLD Highest antigen sequence identity to the following orthologs: Mouse - 87%, Rat - 87%.
- Reactivity
- Human
- Host
- Rabbit
- Isotype
- IgG
- Vial size
- 100 μL
- Concentration
- 0.1 mg/mL
- Storage
- Store at 4°C short term. For long term storage, store at -20°C, avoiding freeze/thaw cycles.
				No comments: Submit comment	
	
			
							
					Supportive validation
					
									
				
				- Submitted by
- Invitrogen Antibodies (provider)
- Main image
 
- Experimental details
- Immunofluorescent staining of DHX37 in human cell line MCF7 shows positivity in nuclear membrane. Samples were probed using a DHX37 Polyclonal Antibody (Product # PA5-61554).
- Submitted by
- Invitrogen Antibodies (provider)
- Main image
 
- Experimental details
- Immunofluorecent analysis of DHX37 in human cell line MCF7 using DHX37 Polyclonal Antibody (Product # PA5-61554). Staining shows localization to nuclear membrane.
							
					Supportive validation
					
									
				
		- Submitted by
- Invitrogen Antibodies (provider)
- Main image
 
- Experimental details
- Immunohistochemical staining of DHX37 in human skin and liver tissues using DHX37 Polyclonal Antibody (Product # PA5-61554). Corresponding DHX37 RNA-seq data are presented for the same tissues.
- Submitted by
- Invitrogen Antibodies (provider)
- Main image
 
- Experimental details
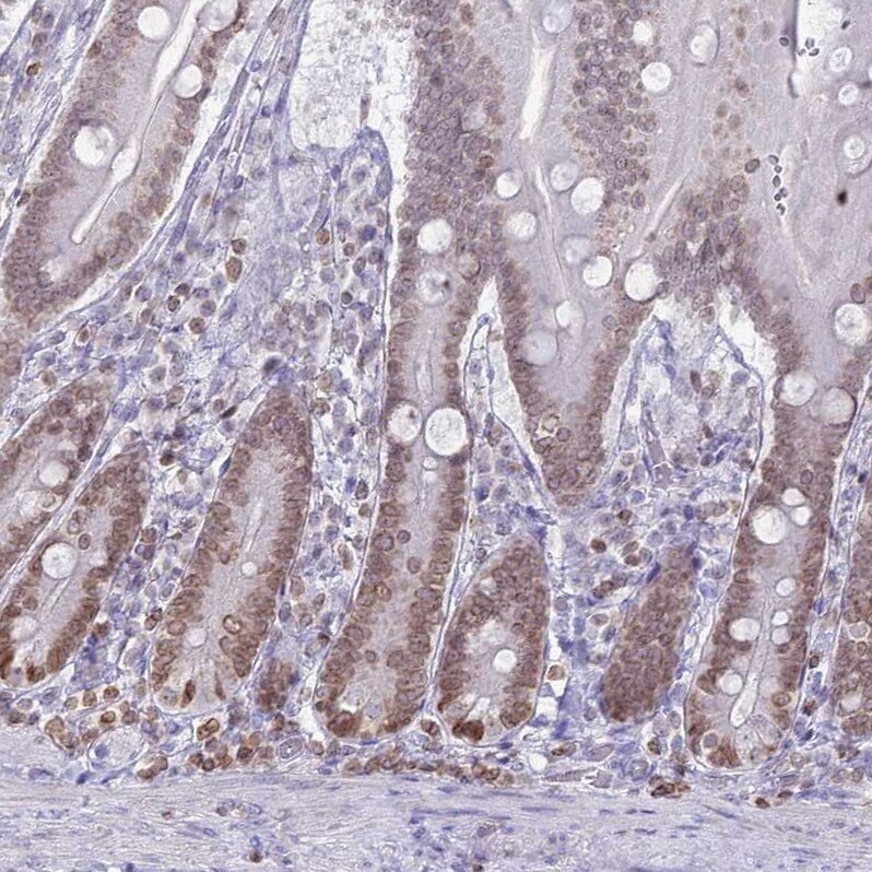
- Immunohistochemical staining of DHX37 in human duodenum using DHX37 Polyclonal Antibody (Product # PA5-61554) shows weak to moderate positivity in nuclear membranes in glandular cells.
- Submitted by
- Invitrogen Antibodies (provider)
- Main image
 
- Experimental details
- Immunohistochemical staining of DHX37 in human placenta using DHX37 Polyclonal Antibody (Product # PA5-61554) shows moderate positivity in nuclear membranes in trophoblastic cells.
- Submitted by
- Invitrogen Antibodies (provider)
- Main image
 
- Experimental details
- Immunohistochemical staining of DHX37 in human skin using DHX37 Polyclonal Antibody (Product # PA5-61554) shows moderate positivity in nuclear membranes in squamous epithelial cells.
- Submitted by
- Invitrogen Antibodies (provider)
- Main image
 
- Experimental details
- Immunohistochemical staining of DHX37 in human liver using DHX37 Polyclonal Antibody (Product # PA5-61554) shows positivity in hepatocytes.
- Submitted by
- Invitrogen Antibodies (provider)
- Main image
 
- Experimental details
- Immunohistochemical staining of DHX37 in human skin and liver tissues using DHX37 Polyclonal Antibody (Product # PA5-61554). Corresponding DHX37 RNA-seq data are presented for the same tissues.
- Submitted by
- Invitrogen Antibodies (provider)
- Main image
 
- Experimental details
- Immunohistochemical staining of DHX37 in human skin using DHX37 Polyclonal Antibody (Product # PA5-61554) shows moderate positivity in nuclear membranes in squamous epithelial cells.
- Submitted by
- Invitrogen Antibodies (provider)
- Main image
 
- Experimental details
- Immunohistochemical staining of DHX37 in human liver using DHX37 Polyclonal Antibody (Product # PA5-61554) shows positivity in hepatocytes.