Antibody data
- Antibody Data
- Antigen structure
- References [1]
- Comments [0]
- Validations
- Immunocytochemistry [2]
- Immunohistochemistry [7]
Submit
Validation data
Reference
Comment
Report error
- Product number
- PA5-82060 - Provider product page

- Provider
- Invitrogen Antibodies
- Product name
- NF2 Polyclonal Antibody
- Antibody type
- Polyclonal
- Antigen
- Recombinant protein fragment
- Description
- Immunogen sequence: ERRAKQKLLE IATKPTYPPM NPIPAPLPPD IPSFNLIGDS LSFDFKDTDM KRLSMEIEKE KVEYMEKSKH LQEQLNELKT EIEALKLKER ETALDILHNE NSDRGGSSKH NTIKKLTLQS AKSRVA
- Reactivity
- Human, Mouse, Rat
- Host
- Rabbit
- Isotype
- IgG
- Vial size
- 100 μL
- Concentration
- 0.4 mg/mL
- Storage
- Store at 4°C short term. For long term storage, store at -20°C, avoiding freeze/thaw cycles.
Submitted references Schwannoma development is mediated by Hippo pathway dysregulation and modified by RAS/MAPK signaling.
Chen Z, Li S, Mo J, Hawley E, Wang Y, He Y, Brosseau JP, Shipman T, Clapp DW, Carroll TJ, Le LQ
JCI insight 2020 Oct 15;5(20)
JCI insight 2020 Oct 15;5(20)
No comments: Submit comment
Supportive validation
- Submitted by
- Invitrogen Antibodies (provider)
- Main image

- Experimental details
- Immunofluorescent analysis of NF2 in U-251 MG cells using a NF2 polyclonal antibody (Product # PA5-82060). The analysis shows localization to plasma membrane & cytosol.
- Submitted by
- Invitrogen Antibodies (provider)
- Main image

- Experimental details
- Immunofluorecent analysis of NF2 in human cell line U-251 MG using NF2 Polyclonal Antibody (Product # PA5-82060). Staining shows localization to plasma membrane and cytosol.
Supportive validation
- Submitted by
- Invitrogen Antibodies (provider)
- Main image

- Experimental details
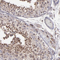
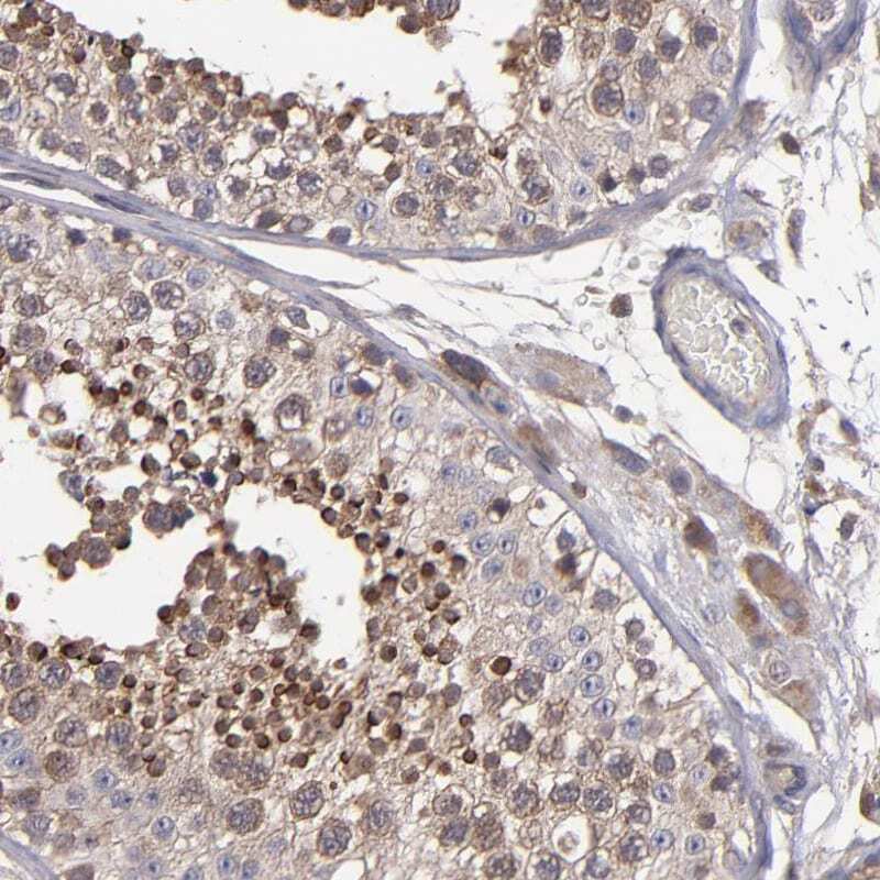
- Immunohistochemical analysis of NF2 in human testis using NF2 Polyclonal Antibody (Product # PA5-82060) shows moderate cytoplasmic positivity in cells in seminiferous ducts.
- Submitted by
- Invitrogen Antibodies (provider)
- Main image

- Experimental details
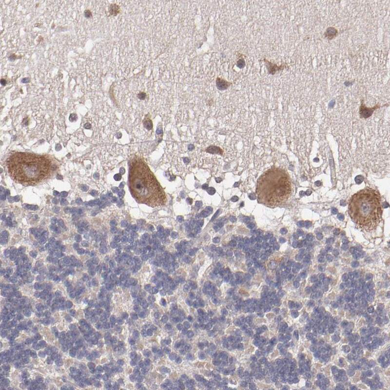
- Immunohistochemical analysis of NF2 in human cerebellum using NF2 Polyclonal Antibody (Product # PA5-82060) shows moderate cytoplasmic positivity in Purkinje cells.
- Submitted by
- Invitrogen Antibodies (provider)
- Main image

- Experimental details
- Immunohistochemical analysis of NF2 in human cerebral cortex using NF2 Polyclonal Antibody (Product # PA5-82060) shows strong cytoplasmic positivity in neurons.
- Submitted by
- Invitrogen Antibodies (provider)
- Main image

- Experimental details
- Immunohistochemical analysis of NF2 in human fallopian tube using NF2 Polyclonal Antibody (Product # PA5-82060) shows moderate cytoplasmic and moderate membranous positivity in glandular cells.
- Submitted by
- Invitrogen Antibodies (provider)
- Main image

- Experimental details
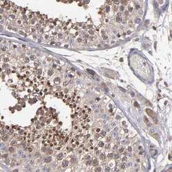
- Immunohistochemical analysis of NF2 in human testis using NF2 Polyclonal Antibody (Product # PA5-82060) shows moderate cytoplasmic positivity in cells in seminiferous ducts.
- Submitted by
- Invitrogen Antibodies (provider)
- Main image

- Experimental details
- Immunohistochemical analysis of NF2 in human cerebellum using NF2 Polyclonal Antibody (Product # PA5-82060) shows moderate cytoplasmic positivity in Purkinje cells.
- Submitted by
- Invitrogen Antibodies (provider)
- Main image

- Experimental details
- Immunohistochemical analysis of NF2 in human cerebral cortex using NF2 Polyclonal Antibody (Product # PA5-82060) shows strong cytoplasmic positivity in neurons.