Antibody data
- Antibody Data
- Antigen structure
- References [1]
- Comments [0]
- Validations
- Immunohistochemistry [1]
Submit
Validation data
Reference
Comment
Report error
- Product number
- AF1073 - Provider product page

- Provider
- R&D Systems
- Product name
- Human BMP-8 Antibody
- Antibody type
- Polyclonal
- Description
- Immunogen affinity purified. Detects human BMP-8 in direct ELISAs and Western blots. In direct ELISAs, less than 1% cross-reactivity with recombinant human (rh) BMP-2, rhBMP-3, rhBMP-4, rhBMP-5, rhBMP-6 and rhBMP-7 is observed.
- Reactivity
- Human
- Host
- Goat
- Conjugate
- Unconjugated
- Antigen sequence
AAP74559- Isotype
- IgG
- Vial size
- 100 ug
- Concentration
- LYOPH
- Storage
- Use a manual defrost freezer and avoid repeated freeze-thaw cycles. 12 months from date of receipt, -20 to -70 °C as supplied. 1 month, 2 to 8 °C under sterile conditions after reconstitution. 6 months, -20 to -70 °C under sterile conditions after reconstitution.
Submitted references The protective role of bone morphogenetic protein-8 in the glucocorticoid-induced apoptosis on bone cells.
Kósa JP, Kis A, Bácsi K, Balla B, Nagy Z, Takács I, Speer G, Lakatos P
Bone 2011 May 1;48(5):1052-7
Bone 2011 May 1;48(5):1052-7
No comments: Submit comment
Supportive validation
- Submitted by
- R&D Systems (provider)
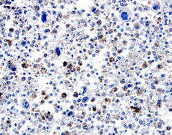
- Main image

- Experimental details
- BMP-8 in Human Osteo-sarcoma. BMP-8 was detected in immersion fixed paraffin-embedded sections of human osteosarcoma using 15 µg/mL Goat Anti-Human BMP-8 Antigen Affinity-purified Polyclonal Antibody (Catalog # AF1073) overnight at 4 °C. Tissue was stained with the Anti-Goat HRP-DAB Cell & Tissue Staining Kit (brown; Catalog # CTS008) and counterstained with hematoxylin (blue). View our protocol for Chromogenic IHC Staining of Paraffin-embedded Tissue Sections.