Antibody data
- Antibody Data
- Antigen structure
- References [0]
- Comments [0]
- Validations
- Western blot [1]
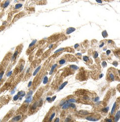
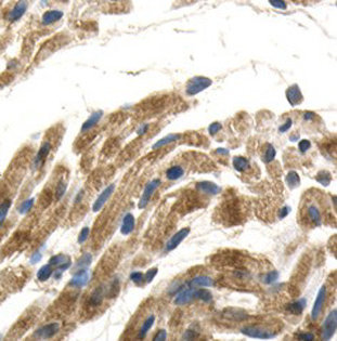
- Immunohistochemistry [1]
Submit
Validation data
Reference
Comment
Report error
- Product number
- ABIN2032474 - Provider product page

- Provider
- antibodies-online
- Product name
- anti-Solute Carrier Family 35, Member F2 (SLC35F2) (N-Term) antibody
- Antibody type
- Polyclonal
- Antigen
- Synthetic peptide
- Description
- Protein A Purified Total IgG.
- Reactivity
- Human
- Host
- Rabbit
- Epitope
- N-Term
- Isotype
- IgG
- Vial size
- 0.1 mg
- Concentration
- 1 mg/mL
- Storage
- Store at 4°C for short-term use. For longer periods of storage, aliquot and store at -20°C.
- Handling
- Avoid repeat freeze-thaw cycles. Do NOT add Sodium Azide! Use of Sodium Azide will inhibit enzyme activity of horseradish peroxidase.
No comments: Submit comment
Supportive validation
- Submitted by
- antibodies-online (provider)
- Main image

- Experimental details
- Image(s): Western Blotting
Supportive validation
- Submitted by
- antibodies-online (provider)
- Main image

- Experimental details
- Image(s): Immunohistochemistry