Antibody data
- Antibody Data
- Antigen structure
- References [0]
- Comments [0]
- Validations
- Western blot [1]
- Immunohistochemistry [1]
Submit
Validation data
Reference
Comment
Report error
- Product number
- ARP43971_T100 - Provider product page

- Provider
- Aviva Systems Biology
- Proper citation
- Aviva Systems Biology Cat#ARP43971_T100, RRID:AB_1147800
- Product name
- SLC35F2 antibody - N-terminal region (ARP43971_T100)
- Antibody type
- Polyclonal
- Antigen
- The immunogen is a synthetic peptide directed towards the N terminal region of human SLC35F2
- Description
- Protein A purified
- Reactivity
- Human
- Host
- Rabbit
- Vial size
- 100 μl
- Concentration
- Liquid. Purified antibody supplied in 1x PBS buffer with 0.09% (w/v) sodium azide and 2% sucrose.
- Storage
- For short term use, store at 2-8C up to 1 week. For long term storage, store at -20C in small aliquots to prevent freeze-thaw cycles.
No comments: Submit comment
Supportive validation
- Submitted by
- Aviva Systems Biology (provider)
- Main image

- Experimental details
- Western blot analysis using Anti-SLC35F2 antibody detects protein at predicted molecular weight using transfected 293T cells as a positive control. Tissue/Lysate Concentration: 2.5ug/ml Antibody Concentration: 1.0ug/ml
- Sample type
- Transfected 293T cells
- Validation comment
- Western blot analysis detects protein at predicted molecular weight
- Primary Ab dilution
- 1.0ug/ml
- Other comments
- Lysate concentration 2.5ug/ml
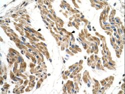
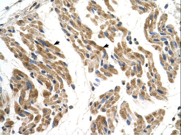
Supportive validation
- Submitted by
- Aviva Systems Biology (provider)
- Main image

- Experimental details
- Immunohistochemistry staining of Human Muscle with Anti-SLC35F2 antibody
- Sample type
- Human Muscle
- Validation comment
- This location is supported by literature
- Primary Ab dilution
- 4.0-8.7988
- Secondary Ab
- Secondary Ab
- Secondary Ab dilution
- 0.5ug/mL 0.2ug/mL
- Protocol
- Protocol