Antibody data
- Antibody Data
- Antigen structure
- References [0]
- Comments [0]
- Validations
- Western blot [1]
- Immunohistochemistry [2]
Submit
Validation data
Reference
Comment
Report error
- Product number
- ABIN2781651 - Provider product page

- Provider
- antibodies-online
- Product name
- anti-Solute Carrier Family 35, Member F2 (SLC35F2) (N-Term) antibody
- Antibody type
- Polyclonal
- Description
- Protein A purified
- Reactivity
- Human
- Host
- Rabbit
- Antigen sequence
MEADSPAGPG APEPLAEGAA AEFSSLLRRI
KGKLFTWNIL KTIALGQMLS- Epitope
- N-Term
- Vial size
- 100 μL
- Storage
- For short term use, store at 2-8°C up to 1 week. For long term storage, store at -20°C in small aliquots to prevent freeze-thaw cycles.
- Handling
- Avoid repeated freeze-thaw cycles.
No comments: Submit comment
Supportive validation
- Submitted by
- antibodies-online (provider)
- Main image

- Experimental details
- WB
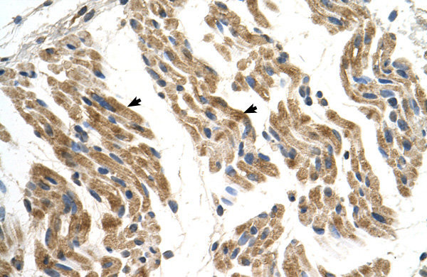
Supportive validation
- Submitted by
- antibodies-online (provider)
- Main image

- Experimental details
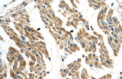
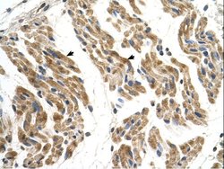
- IHC
- Submitted by
- antibodies-online (provider)
- Main image

- Experimental details
- IHC