Antibody data
- Antibody Data
- Antigen structure
- References [0]
- Comments [0]
- Validations
- Western blot [1]
- Immunohistochemistry [1]
Submit
Validation data
Reference
Comment
Report error
- Product number
- NBP1-59890 - Provider product page

- Provider
- Novus Biologicals
- Proper citation
- Novus Cat#NBP1-59890, RRID:AB_11009887
- Product name
- Rabbit Polyclonal SLC35F2 Antibody
- Antibody type
- Polyclonal
- Description
- Protein A purified.
- Reactivity
- Human
- Host
- Rabbit
- Isotype
- IgG
- Vial size
- 100ul
- Storage
- Store at -20C. Avoid freeze-thaw cycles.
No comments: Submit comment
Supportive validation
- Submitted by
- Novus Biologicals (provider)
- Main image

- Experimental details
- Western Blot: SLC35F2 Antibody [NBP1-59890] - Transfected 293T tissue lysate at a concentration of 2.5ug/ml.
Supportive validation
- Submitted by
- Novus Biologicals (provider)
- Main image

- Experimental details
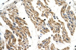
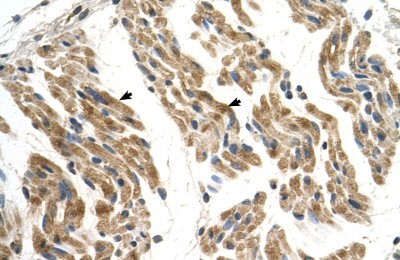
- Immunohistochemistry-Paraffin: SLC35F2 Antibody [NBP1-59890] - Human Muscle Tissue, Skeletal muscle cells (Indicated with Arrows) 4-8ug/ml.