Antibody data
- Antibody Data
- Antigen structure
- References [0]
- Comments [0]
- Validations
- Western blot [1]
- Immunohistochemistry [7]
Submit
Validation data
Reference
Comment
Report error
- Product number
- LS-C782759 - Provider product page

- Provider
- LSBio
- Product name
- PA2G4 / EBP1 Antibody LS-C782759
- Antibody type
- Polyclonal
- Description
- Antigen Affinity purification
- Reactivity
- Human, Mouse, Rat
- Host
- Rabbit
- Isotype
- IgG
- Storage
- After reconstitution, store at 4°C for up to 1 month. Long-term: aliquot and store at -20°C. Avoid freeze-thaws cycles.
No comments: Submit comment
Enhanced validation
- Submitted by
- LSBio (provider)
- Enhanced method
- Genetic validation
- Main image

- Experimental details
- Western blot testing of 1) rat liver, 2) mouse NIH3T3 and 3) human HepG2 lysate with EBP1 antibody at 0.5ug/ml. Observed molecular weight 42 kDa (p42 isoform) and 48 kDa (p48 isoform).
Enhanced validation
- Submitted by
- LSBio (provider)
- Enhanced method
- Genetic validation
- Main image

- Experimental details
- IHC testing of FFPE mouse brain tissue with EBP1 antibody at 1ug/ml. HIER: steam section in pH6 citrate buffer for 20 min.
- Submitted by
- LSBio (provider)
- Enhanced method
- Genetic validation
- Main image

- Experimental details
- IHC testing of FFPE mouse brain tissue with EBP1 antibody at 1ug/ml. HIER: steam section in pH6 citrate buffer for 20 min.
- Submitted by
- LSBio (provider)
- Enhanced method
- Genetic validation
- Main image

- Experimental details
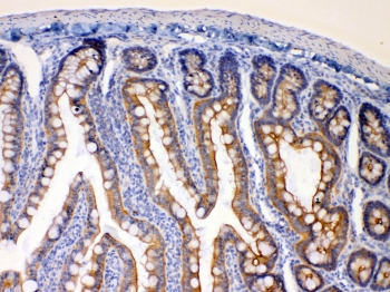
- IHC testing of FFPE rat intestine tissue with EBP1 antibody at 1ug/ml. HIER: steam section in pH6 citrate buffer for 20 min.
- Submitted by
- LSBio (provider)
- Enhanced method
- Genetic validation
- Main image

- Experimental details
- IHC testing of FFPE mouse intestine tissue with EBP1 antibody at 1ug/ml. HIER: steam section in pH6 citrate buffer for 20 min.
- Submitted by
- LSBio (provider)
- Main image

- Experimental details
- IHC testing of FFPE mouse intestine tissue with EBP1 antibody at 1ug/ml. HIER: steam section in pH6 citrate buffer for 20 min.
- Submitted by
- LSBio (provider)
- Main image

- Experimental details
- IHC testing of FFPE mouse brain tissue with EBP1 antibody at 1ug/ml. HIER: steam section in pH6 citrate buffer for 20 min.
- Submitted by
- LSBio (provider)
- Main image

- Experimental details
- IHC testing of FFPE rat intestine tissue with EBP1 antibody at 1ug/ml. HIER: steam section in pH6 citrate buffer for 20 min.