Antibody data
- Antibody Data
- Antigen structure
- References [0]
- Comments [0]
- Validations
- Western blot [1]
- Immunohistochemistry [1]
Submit
Validation data
Reference
Comment
Report error
- Product number
- TA323508 - Provider product page

- Provider
- OriGene
- Product name
- Anti-ABLIM1 Rabbit Polyclonal Antibody
- Antibody type
- Polyclonal
- Description
- Anti-ABLIM1 Rabbit Polyclonal Antibody
- Host
- Rabbit
- Conjugate
- Unconjugated
- Epitope
- ABLIM1
- Isotype
- IgG
- Antibody clone number
- NULL
- Vial size
- 100 µl
- Concentration
- 1.1mg/ml
No comments: Submit comment
Supportive validation
- Submitted by
- OriGene (provider)
- Main image

- Experimental details
- Predicted band size: 88 kDa . Positive control: Mouse heart tissue lysate. Recommended dilution: 1/500-2000. (Gel: 8%SDS-PAGE Lysate: 40 ug per lane Primary antibody: 1/550 dilution Secondary antibody: Goat anti Rabbit IgG - H&L (HRP) at 1/10000 dilution Exposure time: 20 seconds)
- Validation comment
- WB
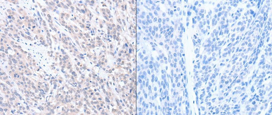
Supportive validation
- Submitted by
- OriGene (provider)
- Main image

- Experimental details
- Predicted cell location: Cytoplasm. Positive control: Human esophagus cancer tissue. Recommended dilution: 1/15-50 The image on the left is immunohistochemistry of paraffin-embedded human esophagus cancer tissue using ABLIM1 antibody at dilution 1/25, on the right is treated with the fusion protein. (Original magnification:x200)
- Validation comment
- IHC