Antibody data
- Antibody Data
- Antigen structure
- References [0]
- Comments [0]
- Validations
- Immunocytochemistry [6]
- Immunohistochemistry [6]
- Flow cytometry [2]
Submit
Validation data
Reference
Comment
Report error
- Product number
- PA5-109212 - Provider product page

- Provider
- Invitrogen Antibodies
- Product name
- ULK1 Polyclonal Antibody
- Antibody type
- Polyclonal
- Antigen
- Recombinant full-length protein
- Description
- Positive Control: A549, MCF-7, SH-SY5Y, rat heart tissue, human kidney tissue, human placenta tissue, mouse skeletal muscle tissue.
- Reactivity
- Human
- Host
- Rabbit
- Isotype
- IgG
- Vial size
- 100 μL
- Concentration
- 1 mg/mL
- Storage
- -20°C, Avoid Freeze/Thaw Cycles, store in dark
No comments: Submit comment
Supportive validation
- Submitted by
- Invitrogen Antibodies (provider)
- Main image

- Experimental details
- Immunofluorescent analysis of ULK1 in SH-SY5Y cells (green). Samples were fixed in paraformaldehyde and permeabilised with 0.25% Triton X100/PBS, incubated with ULK1 polyclonal antibody (Product # PA5-109212), followed by DAPI (blue).
- Submitted by
- Invitrogen Antibodies (provider)
- Main image

- Experimental details
- Immunofluorescent analysis of ULK1 in MCF-7 cells (green). Samples were fixed in paraformaldehyde and permeabilised with 0.25% Triton X100/PBS, incubated with ULK1 polyclonal antibody (Product # PA5-109212), followed by DAPI (blue).
- Submitted by
- Invitrogen Antibodies (provider)
- Main image

- Experimental details
- Immunofluorescent analysis of ULK1 in A549 cells (green). Samples were fixed in paraformaldehyde and permeabilised with 0.25% Triton X100/PBS, incubated with ULK1 polyclonal antibody (Product # PA5-109212), followed by DAPI (blue).
- Submitted by
- Invitrogen Antibodies (provider)
- Main image

- Experimental details
- Immunofluorescent analysis of ULK1 in A549 cells (green). Samples were fixed in paraformaldehyde and permeabilised with 0.25% Triton X100/PBS, incubated with ULK1 polyclonal antibody (Product # PA5-109212), followed by DAPI (blue).
- Submitted by
- Invitrogen Antibodies (provider)
- Main image

- Experimental details
- Immunofluorescent analysis of ULK1 in MCF-7 cells (green). Samples were fixed in paraformaldehyde and permeabilised with 0.25% Triton X100/PBS, incubated with ULK1 polyclonal antibody (Product # PA5-109212), followed by DAPI (blue).
- Submitted by
- Invitrogen Antibodies (provider)
- Main image

- Experimental details
- Immunofluorescent analysis of ULK1 in SH-SY5Y cells (green). Samples were fixed in paraformaldehyde and permeabilised with 0.25% Triton X100/PBS, incubated with ULK1 polyclonal antibody (Product # PA5-109212), followed by DAPI (blue).
Supportive validation
- Submitted by
- Invitrogen Antibodies (provider)
- Main image

- Experimental details
- Immunohistochemistry analysis of ULK1 in paraffin-embedded human kidney tissue. Samples were incubated with ULK1 polyclonal antibody (Product # PA5-109212), and followed by hematoxylin.
- Submitted by
- Invitrogen Antibodies (provider)
- Main image

- Experimental details
- Immunohistochemistry analysis of ULK1 in paraffin-embedded human placenta tissue. Samples were incubated with ULK1 polyclonal antibody (Product # PA5-109212), and followed by hematoxylin.
- Submitted by
- Invitrogen Antibodies (provider)
- Main image

- Experimental details
- Immunohistochemistry analysis of ULK1 in paraffin-embedded mouse skeletal muscle tissue. Samples were incubated with ULK1 polyclonal antibody (Product # PA5-109212), and followed by hematoxylin.
- Submitted by
- Invitrogen Antibodies (provider)
- Main image

- Experimental details
- Immunohistochemistry analysis of ULK1 in paraffin-embedded rat heart tissue. Samples were incubated with ULK1 polyclonal antibody (Product # PA5-109212), and followed by hematoxylin.
- Submitted by
- Invitrogen Antibodies (provider)
- Main image

- Experimental details
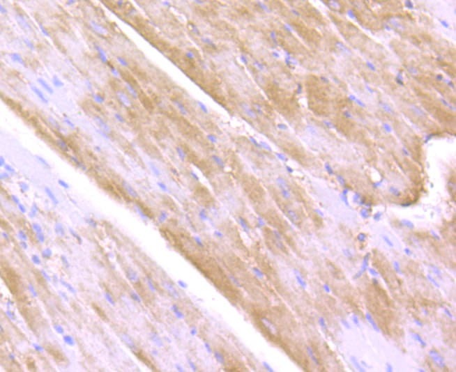
- Immunohistochemistry analysis of ULK1 in paraffin-embedded mouse skeletal muscle tissue. Samples were incubated with ULK1 polyclonal antibody (Product # PA5-109212), and followed by hematoxylin.
- Submitted by
- Invitrogen Antibodies (provider)
- Main image

- Experimental details
- Immunohistochemistry analysis of ULK1 in paraffin-embedded rat heart tissue. Samples were incubated with ULK1 polyclonal antibody (Product # PA5-109212), and followed by hematoxylin.
Supportive validation
- Submitted by
- Invitrogen Antibodies (provider)
- Main image

- Experimental details
- Flow cytometry of ULK1 in SH-SY5Y cells (red) compared with an unlabelled control (cells without incubation with primary antibody; black). Samples were incubated with ULK1 polyclonal antibody (Product # PA5-109212) at a dilution of 1:100.
- Submitted by
- Invitrogen Antibodies (provider)
- Main image

- Experimental details
- Flow cytometry of ULK1 in SH-SY5Y cells (red) compared with an unlabelled control (cells without incubation with primary antibody; black). Samples were incubated with ULK1 polyclonal antibody (Product # PA5-109212) at a dilution of 1:100.