PAB23350
antibody from Abnova Corporation
Targeting: PNISR
bA98I9.2, C6orf111, DKFZp564B0769, FLJ14752, SFRS18, SRrp130
Antibody data
- Antibody Data
- Antigen structure
- References [0]
- Comments [0]
- Validations
- Immunocytochemistry [1]
- Immunohistochemistry [1]
Submit
Validation data
Reference
Comment
Report error
- Product number
- PAB23350 - Provider product page

- Provider
- Abnova Corporation
- Proper citation
- Abnova Corporation Cat#PAB23350, RRID:AB_11118715
- Product name
- PNISR polyclonal antibody
- Antibody type
- Polyclonal
- Description
- Rabbit polyclonal antibody raised against recombinant PNISR.
- Antigen sequence
PLNQQQWMQSFQHQQDPSQIDWAALAQAWIAQREA
SGQQSMVEQPPGMMPNGQDMSTMESGPNNHGNFQG
DSNFNRMWQPEWGMHQQPPHPPPDQPWMPPTPGPM
DIVPPSEDSNSQDSGEFAPDNRHIFNQNNHNFGG- Isotype
- IgG
- Storage
- Store at 4°C. For long term storage store at -20°C.Aliquot to avoid repeated freezing and thawing.
No comments: Submit comment
Supportive validation
- Submitted by
- Abnova Corporation (provider)
- Main image

- Experimental details
- Immunofluorescent staining of HeLa cells shows positivity in cytoplasm and nucleus but excluded from the nucleoli with PNISR polyclonal antibody (Cat # PAB23350) under 1-4 ug/mL working concentration.
- Validation comment
- Immunofluorescence
Supportive validation
- Submitted by
- Abnova Corporation (provider)
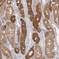
- Main image

- Experimental details
- Immunohistochemical staining of human kidney with PNISR polyclonal antibody (Cat # PAB23350) shows moderate cytoplasmic positivity in cells in tubules at 1:50-1:200 dilution.
- Validation comment
- Immunohistochemistry (Formalin/PFA-fixed paraffin-embedded sections)