NBP1-88723
antibody from Novus Biologicals
Targeting: PNISR
bA98I9.2, C6orf111, DKFZp564B0769, FLJ14752, SFRS18, SRrp130
Antibody data
- Antibody Data
- Antigen structure
- References [0]
- Comments [0]
- Validations
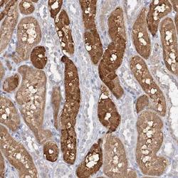
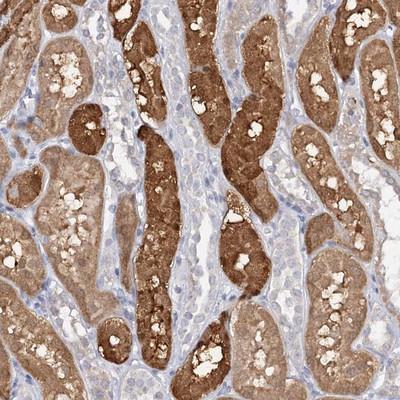
- Immunohistochemistry [1]
Submit
Validation data
Reference
Comment
Report error
- Product number
- NBP1-88723 - Provider product page

- Provider
- Novus Biologicals
- Proper citation
- Novus Cat#NBP1-88723, RRID:AB_11041421
- Product name
- Rabbit Polyclonal SFRS18 Antibody
- Antibody type
- Polyclonal
- Description
- Immunogen affinity purified. Specificity of human SFRS18 antibody verified on a Protein Array containing target protein plus 383 other non-specific proteins.
- Reactivity
- Human
- Host
- Rabbit
- Isotype
- IgG
- Vial size
- 0.1 ml
- Storage
- Store at 4C short term. Aliquot and store at -20C long term. Avoid freeze-thaw cycles.
No comments: Submit comment
Supportive validation
- Submitted by
- Novus Biologicals (provider)
- Main image

- Experimental details
- Immunohistochemistry: SFRS18 Antibody [NBP1-88723] - Staining of human kidney shows moderate cytoplasmic positivity in cells in tubules.