Antibody data
- Antibody Data
- Antigen structure
- References [2]
- Comments [0]
- Validations
- Western blot [4]
- Immunocytochemistry [2]
- Immunoprecipitation [1]
- Immunohistochemistry [3]
- Flow cytometry [1]
Submit
Validation data
Reference
Comment
Report error
- Product number
- TA500829 - Provider product page

- Provider
- OriGene
- Proper citation
- OriGene Cat#TA500829, RRID:AB_11123807
- Product name
- GBE1 mouse monoclonal antibody, clone OTI1D11 (formerly 1D11)
- Antibody type
- Monoclonal
- Description
- GBE1 mouse monoclonal antibody, clone OTI1D11 (formerly 1D11)
- Host
- Mouse
- Conjugate
- Unconjugated
- Epitope
- GBE1
- Isotype
- IgG
- Antibody clone number
- OTI1D11
- Vial size
- 100 µl
- Concentration
- NULL
Submitted references A novel mouse model that recapitulates adult-onset glycogenosis type 4.
Generation of a novel mouse model that recapitulates early and adult onset glycogenosis type IV.
Orhan Akman H, Emmanuele V, Kurt YG, Kurt B, Sheiko T, DiMauro S, Craigen WJ
Human molecular genetics 2015 Dec 1;24(23):6801-10
Human molecular genetics 2015 Dec 1;24(23):6801-10
Generation of a novel mouse model that recapitulates early and adult onset glycogenosis type IV.
Akman HO, Sheiko T, Tay SK, Finegold MJ, Dimauro S, Craigen WJ
Human molecular genetics 2011 Nov 15;20(22):4430-9
Human molecular genetics 2011 Nov 15;20(22):4430-9
No comments: Submit comment
Supportive validation
- Submitted by
- OriGene (provider)
- Main image

- Experimental details
- HEK293T cells were transfected with the pCMV6-ENTRY control (Left lane) or pCMV6-ENTRY GBE1 (RC204152, Right lane) cDNA for 48 hrs and lysed. Equivalent amounts of cell lysates (5 ug per lane) were separated by SDS-PAGE and immunoblotted with anti-GBE1.
- Validation comment
- WB
- Submitted by
- OriGene (provider)
- Main image

- Experimental details
- Western blot analysis of extracts (35ug) from 9 different cell lines by usin g anti-GBE1 monoclonal antibody (HepG2: human; HeLa: human; SVT2: mouse; A549: human; COS7: monkey; Jurkat: human; MDCK: canine; PC12: rat; MCF7: human).
- Validation comment
- WB
- Submitted by
- OriGene (provider)
- Main image

- Experimental details
- Western blot analysis of extracts (10ug) from 10 Human tissue by using anti-GBE1 monoclonal antibody at 1:500 (1: Testis; 2: Omentum; 3: Uterus; 4: Breast; 5: Brain; 6: Liver; 7: Ovary; 8: Thyroid gland; 9: colon;10: spleen).
- Validation comment
- WB
- Submitted by
- OriGene (provider)
- Main image

- Experimental details
- Figure from citation: Western Blot of GBE protein level by using anti-GBE antibody in mouse muscle extracts obtained from Gbe1-/-. Gbe1+/- and Gbe1+/+ embryos.
- Validation comment
- WB
Supportive validation
- Submitted by
- OriGene (provider)
- Main image

- Experimental details
- Immunofluorescent staining of HepG2 cells using anti-GBE1 mouse monoclonal antibody (TA500829).
- Validation comment
- IF
- Submitted by
- OriGene (provider)
- Main image

- Experimental details
- Anti-GBE1 mouse monoclonal antibody (TA500829) immunofluorescent staining of COS7 cells transiently transfected by pCMV6-ENTRY GBE1(RC204152).
- Validation comment
- IF
Supportive validation
- Submitted by
- OriGene (provider)
- Main image

- Experimental details
- Immunoprecipitation(IP) of GBE1 by using TrueMab monoclonal anti-GBE1 antibodies (Negative control: IP without adding anti-GBE1 antibody.). For each experiment, 500ul of DDK tagged GBE1 overexpression lysates (at 1:5 dilution with HEK293T lysate), 2ug of anti-GBE1 antibody and 20ul (0.1mg) of goat anti-mouse conjugated magnetic beads were mixed and incubated overnight. After extensive wash to remove any non-specific binding, the immuno-precipitated products were analyzed with rabbit anti-DDK polyclonal antibody.
- Validation comment
- IP
Supportive validation
- Submitted by
- OriGene (provider)
- Main image

- Experimental details
- Immunohistochemical staining of paraffin-embedded Human colon tissue within the normal limits using anti-GBE1 mouse monoclonal antibody. (Heat-induced epitope retrieval by 10mM citric buffer, pH6.0, 100C for 10min, TA500829)
- Validation comment
- IHC
- Submitted by
- OriGene (provider)
- Main image

- Experimental details
- Immunohistochemical staining of paraffin-embedded Human endometrium tissue within the normal limits using anti-GBE1 mouse monoclonal antibody. (Heat-induced epitope retrieval by 10mM citric buffer, pH6.0, 100C for 10min, TA500829)
- Validation comment
- IHC
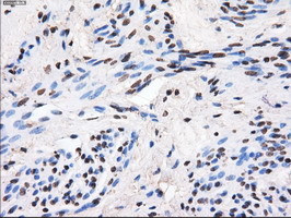
- Submitted by
- OriGene (provider)
- Main image

- Experimental details
- Immunohistochemical staining of paraffin-embedded Human Ovary tissue within the normal limits using anti-GBE1 mouse monoclonal antibody. (Heat-induced epitope retrieval by 10mM citric buffer, pH6.0, 100C for 10min, TA500829)
- Validation comment
- IHC
Supportive validation
- Submitted by
- OriGene (provider)
- Main image

- Experimental details
- HEK293T cells transfected with either RC204152 overexpress plasmid(Red) or empty vector control plasmid(Blue) were immunostained by anti-GBE1 antibody(TA500829), and then analyzed by flow cytometry.
- Validation comment
- FC