Antibody data
- Antibody Data
- Antigen structure
- References [0]
- Comments [0]
- Validations
- Western blot [2]
- Immunohistochemistry [1]
Submit
Validation data
Reference
Comment
Report error
- Product number
- NBP2-15887 - Provider product page

- Provider
- Novus Biologicals
- Product name
- Rabbit Polyclonal CHMP2B Antibody
- Antibody type
- Polyclonal
- Description
- Immunogen affinity purified.
- Reactivity
- Human
- Host
- Rabbit
- Isotype
- IgG
- Vial size
- 0.1 ml
- Storage
- Aliquot and store at -20C or -80C. Avoid freeze-thaw cycles.
No comments: Submit comment
Supportive validation
- Submitted by
- Novus Biologicals (provider)
- Main image

- Experimental details
- Western Blot: CHMP2B Antibody [NBP2-15887] - Sample (30 ug of whole cell lysate) A: 293T B: A431 12% SDS PAGE gel, diluted at 1:1000.
- Submitted by
- Novus Biologicals (provider)
- Main image

- Experimental details
- Western Blot: CHMP2B Antibody [NBP2-15887] - Jurkat whole cell extracts and Jurkat exosome extract (15.4 ug) were separated by 12% SDS-PAGE, and the membrane was blotted with CHMP2B antibody diluted at 1:250. HRP-conjugated anti-rabbit IgG antibody was used to detect the primary antibody.
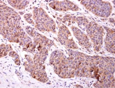
Supportive validation
- Submitted by
- Novus Biologicals (provider)
- Main image

- Experimental details
- Immunohistochemistry-Paraffin: CHMP2B Antibody [NBP2-15887] - Paraffin-embedded human breast carcinoma. CHMP2B antibody diluted at 1:500.