Antibody data
- Antibody Data
- Antigen structure
- References [0]
- Comments [0]
- Validations
- Immunocytochemistry [2]
- Immunohistochemistry [4]
Submit
Validation data
Reference
Comment
Report error
- Product number
- PA5-57916 - Provider product page

- Provider
- Invitrogen Antibodies
- Product name
- CGGBP1 Polyclonal Antibody
- Antibody type
- Polyclonal
- Antigen
- Recombinant protein fragment
- Description
- Immunogen sequence: PLTASLQCNS TAQTEKVSVI QDFVKMCLEA NIPLEKADHP AVRAFLSRHV KNGGSIPKSD QLRRAYLPDG YENENQLLNS QD Highest antigen sequence identity to the following orthologs: Mouse - 96%, Rat - 100%.
- Reactivity
- Human
- Host
- Rabbit
- Isotype
- IgG
- Vial size
- 100 μL
- Concentration
- 0.2 mg/mL
- Storage
- Store at 4°C short term. For long term storage, store at -20°C, avoiding freeze/thaw cycles.
No comments: Submit comment
Supportive validation
- Submitted by
- Invitrogen Antibodies (provider)
- Main image

- Experimental details
- Immunofluorescent staining of CGGBP1 in human cell line RH-30 shows positivity in nucleus. Samples were probed using a CGGBP1 Polyclonal Antibody (Product # PA5-57916).
- Submitted by
- Invitrogen Antibodies (provider)
- Main image

- Experimental details
- Immunofluorecent analysis of CGGBP1 in human cell line RH-30 using CGGBP1 Polyclonal Antibody (Product # PA5-57916). Staining shows localization to nucleus.
Supportive validation
- Submitted by
- Invitrogen Antibodies (provider)
- Main image

- Experimental details
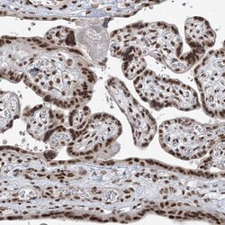
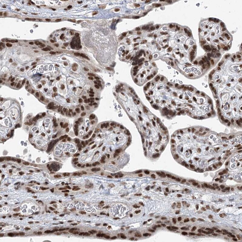
- Immunohistochemical analysis of CGGBP1 in human placenta using CGGBP1 Polyclonal Antibody (Product # PA5-57916) shows strong nuclear positivity in trophoblastic cells.
- Submitted by
- Invitrogen Antibodies (provider)
- Main image

- Experimental details
- Immunohistochemical analysis of CGGBP1 in human small intestine using CGGBP1 Polyclonal Antibody (Product # PA5-57916) shows strong nuclear positivity in glandular cells.
- Submitted by
- Invitrogen Antibodies (provider)
- Main image

- Experimental details
- Immunohistochemical analysis of CGGBP1 in human tonsil using CGGBP1 Polyclonal Antibody (Product # PA5-57916) shows strong nuclear positivity in non-germinal center cells.
- Submitted by
- Invitrogen Antibodies (provider)
- Main image

- Experimental details
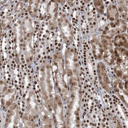
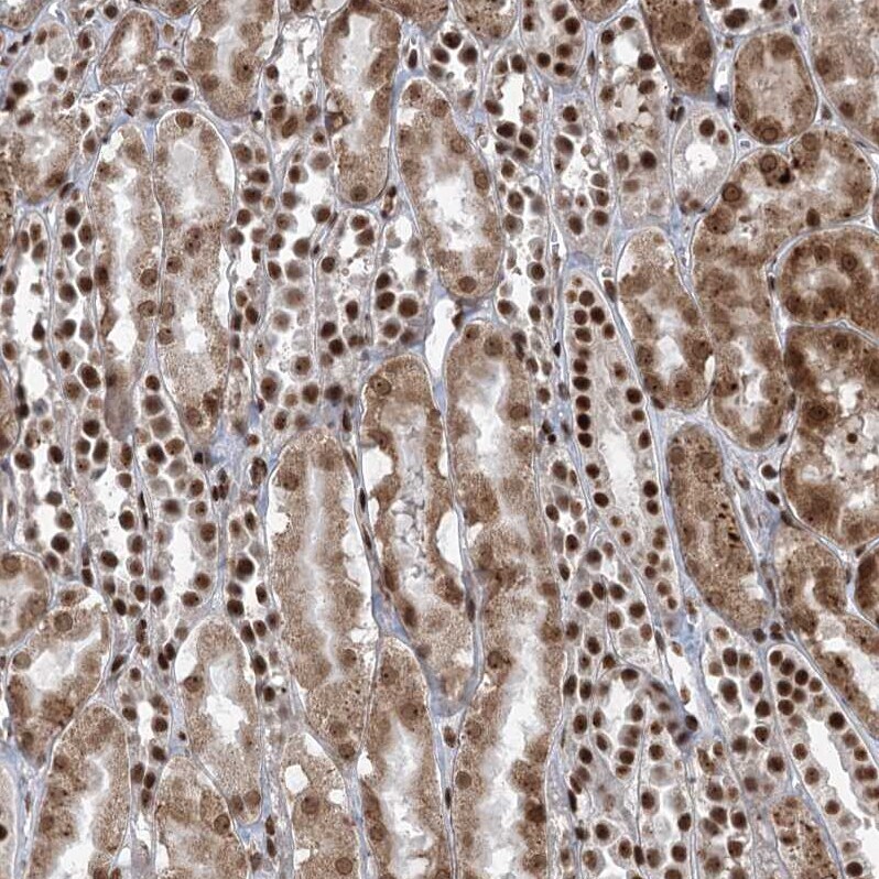
- Immunohistochemical analysis of CGGBP1 in human kidney using CGGBP1 Polyclonal Antibody (Product # PA5-57916) shows strong nuclear positivity in cells in tubules.