Antibody data
- Antibody Data
- Antigen structure
- References [0]
- Comments [0]
- Validations
- Western blot [1]
- Immunocytochemistry [3]
- Immunohistochemistry [2]
Submit
Validation data
Reference
Comment
Report error
- Product number
- PA5-57557 - Provider product page

- Provider
- Invitrogen Antibodies
- Product name
- ZNF654 Polyclonal Antibody
- Antibody type
- Polyclonal
- Antigen
- Recombinant protein fragment
- Description
- Immunogen sequence: QEVTALEEIN CSSSSISFEN GNSDSKDLEV ETLTASSEGN KEVIPEHVAE FIEIPISVPE DVIENVIENG SPNNSLNNVF KPLTECGDDY E Highest antigen sequence identity to the following orthologs: Mouse - 67%, Rat - 64%.
- Reactivity
- Human
- Host
- Rabbit
- Isotype
- IgG
- Vial size
- 100 μL
- Concentration
- 0.05 mg/mL
- Storage
- Store at 4°C short term. For long term storage, store at -20°C, avoiding freeze/thaw cycles.
No comments: Submit comment
Supportive validation
- Submitted by
- Invitrogen Antibodies (provider)
- Main image

- Experimental details
- Western blot analysis of ZNF654 in U2OS cells transfected with control siRNA, target specific siRNA probe #1 and #2, using a ZNF654 Polyclonal Antibody (Product # PA5-57557). Remaining relative intensity is presented.
Supportive validation
- Submitted by
- Invitrogen Antibodies (provider)
- Main image

- Experimental details
- Immunofluorescent staining of ZNF654 in human cell line U-2 OS shows positivity in nucleus & microtubules. Samples were probed using a ZNF654 Polyclonal Antibody (Product # PA5-57557).
- Submitted by
- Invitrogen Antibodies (provider)
- Main image

- Experimental details
- Immunofluorescent staining of ZNF654 in human cell line U-2 OS using ZNF654 Polyclonal Antibody (Product # PA5-57557) shows localization to nucleoplasm & microtubules.
- Submitted by
- Invitrogen Antibodies (provider)
- Main image

- Experimental details
- Immunofluorescent staining of ZNF654 in human cell line U-2 OS using ZNF654 Polyclonal Antibody (Product # PA5-57557) shows localization to nucleoplasm & microtubules.
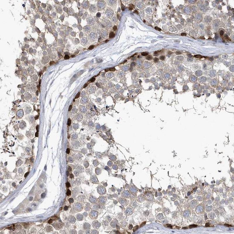
Supportive validation
- Submitted by
- Invitrogen Antibodies (provider)
- Main image

- Experimental details
- Immunohistochemical analysis of ZNF654 in human testis using ZNF654 Polyclonal Antibody (Product # PA5-57557) shows strong nuclear positivity in a subset of seminiferous ducts cells .
- Submitted by
- Invitrogen Antibodies (provider)
- Main image

- Experimental details
- Immunohistochemical analysis of ZNF654 in human testis using ZNF654 Polyclonal Antibody (Product # PA5-57557) shows strong nuclear positivity in a subset of seminiferous ducts cells .