Antibody data
- Antibody Data
- Antigen structure
- References [2]
- Comments [0]
- Validations
- Western blot [1]
- Immunohistochemistry [1]
Submit
Validation data
Reference
Comment
Report error
- Product number
- NBP2-20451 - Provider product page

- Provider
- Novus Biologicals
- Product name
- Rabbit Polyclonal SOCS-3 Antibody
- Antibody type
- Polyclonal
- Description
- Immunogen affinity purified.
- Reactivity
- Human, Mouse
- Host
- Rabbit
- Isotype
- IgG
- Vial size
- 0.1 ml
- Storage
- Aliquot and store at -20C or -80C. Avoid freeze-thaw cycles.
Submitted references In vivo and in vitro evidence that chronic activation of the hexosamine biosynthetic pathway interferes with leptin-dependent STAT3 phosphorylation.
Hexosamine biosynthetic pathway activity in leptin resistant sucrose-drinking rats.
Zimmerman AD, Harris RB
American journal of physiology. Regulatory, integrative and comparative physiology 2015 Mar 15;308(6):R543-55
American journal of physiology. Regulatory, integrative and comparative physiology 2015 Mar 15;308(6):R543-55
Hexosamine biosynthetic pathway activity in leptin resistant sucrose-drinking rats.
Harris RB, Apolzan JW
Physiology & behavior 2015 Jan;138:208-18
Physiology & behavior 2015 Jan;138:208-18
No comments: Submit comment
Supportive validation
- Submitted by
- Novus Biologicals (provider)
- Main image

- Experimental details
- Western Blot: SOCS3 Antibody [NBP2-20451] - Sample (30 ug of whole cell lysate) A: HCT116 12% SDS PAGE gel, diluted at 1:1000.
Supportive validation
- Submitted by
- Novus Biologicals (provider)
- Main image

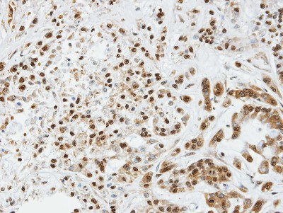
- Experimental details
- Immunohistochemistry-Paraffin: SOCS3 Antibody [NBP2-20451] - Immunohistochemical analysis of paraffin-embedded A549 xenograft, using antibody at 1:100 dilution.