Antibody data
- Antibody Data
- Antigen structure
- References [0]
- Comments [0]
- Validations
- Immunocytochemistry [2]
- Immunohistochemistry [1]
Submit
Validation data
Reference
Comment
Report error
- Product number
- PA5-78113 - Provider product page

- Provider
- Invitrogen Antibodies
- Product name
- POLE Polyclonal Antibody
- Antibody type
- Polyclonal
- Antigen
- Recombinant full-length protein
- Description
- Positive Control: K562 Predicted Reactivity: Mouse (90%), Rat (90%), Bovine (94%) Store product as a concentrated solution. Centrifuge briefly prior to opening the vial.
- Reactivity
- Human
- Host
- Rabbit
- Isotype
- IgG
- Vial size
- 100 μL
- Concentration
- 1.45 mg/mL
- Storage
- Store at 4°C short term. For long term storage, store at -20°C, avoiding freeze/thaw cycles.
No comments: Submit comment
Supportive validation
- Submitted by
- Invitrogen Antibodies (provider)
- Main image

- Experimental details
- POLE Polyclonal Antibody detects POLE protein at nucleus by immunofluorescent analysis. Sample: HeLa cells were fixed in 4% paraformaldehyde at RT for 15 min. Green: POLE protein stained by POLE Polyclonal Antibody (Product # PA5-78113) diluted at 1:2,500. Red: phalloidin, a cytoskeleton marker, diluted at 1:100.
- Submitted by
- Invitrogen Antibodies (provider)
- Main image

- Experimental details
- POLE Polyclonal Antibody detects POLE protein at nucleus by immunofluorescent analysis. Sample: HeLa cells were fixed in 4% paraformaldehyde at RT for 15 min. Green: POLE protein stained by POLE Polyclonal Antibody (Product # PA5-78113) diluted at 1:2,500. Red: phalloidin, a cytoskeleton marker, diluted at 1:100.
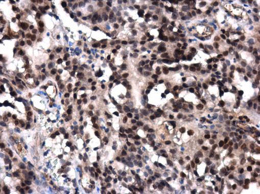
Supportive validation
- Submitted by
- Invitrogen Antibodies (provider)
- Main image

- Experimental details
- POLE Polyclonal Antibody detects POLE protein at nucleus in human ovary by immunohistochemical analysis. Sample: Paraffin-embedded human ovary. POLE Polyclonal Antibody (Product # PA5-78113) diluted at 1:500. Antigen Retrieval: Citrate buffer, pH 6.0, 15 min.