Antibody data
- Antibody Data
- Antigen structure
- References [0]
- Comments [0]
- Validations
- Western blot [1]
- Immunocytochemistry [1]
- Immunohistochemistry [1]
- Flow cytometry [1]
Submit
Validation data
Reference
Comment
Report error
- Product number
- F44235 - Provider product page

- Provider
- NSJ Bioreagents
- Product name
- LIN28B Antibody
- Antibody type
- Polyclonal
- Description
- This highly specific LIN28B antibody is suitable for use in Immunofluorescence/Western blot/Immunohistochemistry/Flow cytometry/ELISA applications with human samples.
- Reactivity
- Human
- Host
- Rabbit
- Conjugate
- Unconjugated
- Vial size
- 0.08 ml, 0.4 ml
- Concentration
- In 1X PBS, pH 7.4, with 0.09% sodium azide
- Storage
- Aliquot the LIN28B antibody and store frozen at -20oC or colder. Avoid repeated freeze-thaw cycles.
No comments: Submit comment
Supportive validation
- Submitted by
- NSJ Bioreagents (provider)
- Main image

- Experimental details
- Western blot analysis of LIN28B antibody and HL-60 lysate
Supportive validation
- Submitted by
- NSJ Bioreagents (provider)
- Main image

- Experimental details
- Fluorescent confocal image of SY5Y cells stained with LIN28B antibody. Alexa Fluor 488 conjugated secondary (green) was used (1:1000, 1h). Nuclei were counterstained with Hoechst 33342 (blue) (10 ug/ml, 5 min). LIN28B immunosignal is localized predominantly to the cytoplasm.
Supportive validation
- Submitted by
- NSJ Bioreagents (provider)
- Main image

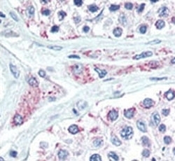
- Experimental details
- IHC analysis of FFPE human testis tissue stained with LIN28B antibody
Supportive validation
- Submitted by
- NSJ Bioreagents (provider)
- Main image

- Experimental details
- Flow cytometric analysis of HL-60 cells using LIN28B antibody (green) compared to a negative control (blue). FITC-conjugated goat-anti-rabbit secondary Ab was used for the analysis.