Antibody data
- Antibody Data
- Antigen structure
- References [0]
- Comments [0]
- Validations
- Western blot [1]
- Immunohistochemistry [1]
Submit
Validation data
Reference
Comment
Report error
- Product number
- AF7726 - Provider product page

- Provider
- R&D Systems
- Product name
- Human LIN-28B Antibody
- Antibody type
- Polyclonal
- Description
- Immunogen affinity purified. Detects human LIN-28B in direct ELISAs and Western blots. In direct ELISAs, less than 4% cross-reactivity with recombinant human LIN-28A is observed.
- Reactivity
- Human
- Host
- Sheep
- Conjugate
- Unconjugated
- Antigen sequence
Q6ZN17- Isotype
- IgG
- Vial size
- 100 ug
- Concentration
- LYOPH
- Storage
- Use a manual defrost freezer and avoid repeated freeze-thaw cycles. 12 months from date of receipt, -20 to -70 °C as supplied. 1 month, 2 to 8 °C under sterile conditions after reconstitution. 6 months, -20 to -70 °C under sterile conditions after reconstitution.
No comments: Submit comment
Supportive validation
- Submitted by
- R&D Systems (provider)
- Main image

- Experimental details
- Detection of Human LIN-28B by Western Blot. Western blot shows lysates of K562 human chronic myelogenous leukemia cell line. PVDF membrane was probed with 0.5 µg/mL of Sheep Anti-Human LIN-28B Antigen Affinity-purified Polyclonal Antibody (Catalog # AF7726) followed by HRP-conjugated Anti-Sheep IgG Secondary Antibody (Catalog # HAF016). Specific bands were detected for LIN-28B at approximately 22 and 35-37 kDa (as indicated). This experiment was conducted under reducing conditions and using Immunoblot Buffer Group 1.
Supportive validation
- Submitted by
- R&D Systems (provider)
- Main image

- Experimental details
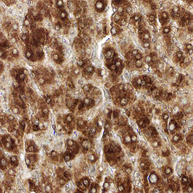
- LIN-28B in Human Liver. LIN-28B was detected in immersion fixed paraffin-embedded sections of human liver using Sheep Anti-Human LIN-28B Antigen Affinity-purified Polyclonal Antibody (Catalog # AF7726) at 15 µg/mL overnight at 4 °C. Tissue was stained using the Anti-Sheep HRP-DAB Cell & Tissue Staining Kit (brown; Catalog # CTS019) and counterstained with hematoxylin (blue). Specific staining was localized to cytoplasm in hepatocytes. View our protocol for Chromogenic IHC Staining of Paraffin-embedded Tissue Sections.