Antibody data
- Antibody Data
- Antigen structure
- References [0]
- Comments [0]
- Validations
- Immunohistochemistry [2]
- Other assay [1]
Submit
Validation data
Reference
Comment
Report error
- Product number
- PA5-41426 - Provider product page

- Provider
- Invitrogen Antibodies
- Product name
- BRDT Polyclonal Antibody
- Antibody type
- Polyclonal
- Antigen
- Synthetic peptide
- Description
- Peptide sequence: MSLPSRQTAI IVNPPPPEYI NTKKNGRLTN QLQYLQKVVL KDLWKHSFSW Sequence homology: Cow: 100%; Dog: 93%; Guinea Pig: 100%; Horse: 86%; Human: 100%; Mouse: 93%; Rabbit: 93%; Rat: 100%
- Reactivity
- Human
- Host
- Rabbit
- Isotype
- IgG
- Vial size
- 100 μL
- Concentration
- 0.5 mg/mL
- Storage
- -20°C, Avoid Freeze/Thaw Cycles
No comments: Submit comment
Supportive validation
- Submitted by
- Invitrogen Antibodies (provider)
- Main image

- Experimental details
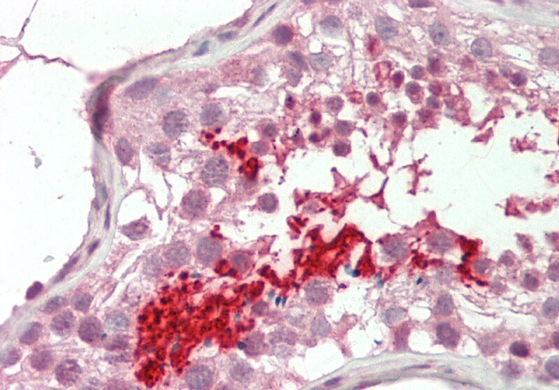
- Immunohistochemistry analysis of BRDT in formalin fixed paraffin embedded human testis. Samples were incubated in BRDT Polyclonal antibody (Product # PA5-41426) using a dilution of 1:100 followed by Donkey anti-Rabbit-Cy3 Secondary Antibody at a dilution of 1:200. Magnification: 20x. Exposure Time: 0.5-2.0 sec.
- Submitted by
- Invitrogen Antibodies (provider)
- Main image

- Experimental details
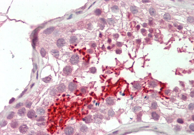
- Immunohistochemistry analysis of BRDT in formalin fixed paraffin embedded human testis. Samples were incubated in BRDT Polyclonal antibody (Product # PA5-41426) using a dilution of 1:100 followed by Donkey anti-Rabbit-Cy3 Secondary Antibody at a dilution of 1:200. Magnification: 20x. Exposure Time: 0.5-2.0 sec.
Supportive validation
- Submitted by
- Invitrogen Antibodies (provider)
- Main image

- Experimental details
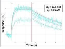
- Surface Plasmon Resonance of BRDT polyclonal antibody (Product # PA5-41426). Purified polyclonal antibodies were immobilized on a Protein A/G coated Carterra LSA sensor chip at concentrations of 5, and 50 µg/mL in duplicate. Antibodies on the surface were exposed to interaction with peptides sequentially via microfluidic controlled flow at 333 nm peptide concentration for kinetic characterization of the binders for affinity and specificity, followed by curve fitting using the Kinetics software. Kd determinations for both concentrations were averaged and results and standard deviation are shown.