Antibody data
- Antibody Data
- Antigen structure
- References [0]
- Comments [0]
- Validations
- Western blot [1]
- Flow cytometry [1]
Submit
Validation data
Reference
Comment
Report error
- Product number
- RQ7152 - Provider product page

- Provider
- NSJ Bioreagents
- Product name
- BRDT Antibody / Bromodomain testis-specific protein
- Antibody type
- Polyclonal
- Description
- This highly specific BRDT antibody is suitable for use in Western blot/Flow cytometry/Direct ELISA applications with human, mouse and rat samples.
- Reactivity
- Human, Mouse, Rat
- Host
- Rabbit
- Conjugate
- Unconjugated
- Vial size
- 100 ug
- Concentration
- 0.5mg/ml if reconstituted with 0.2ml sterile DI water
- Storage
- After reconstitution, the BRDT antibody can be stored for up to one month at 4oC. For long-term, aliquot and store at -20oC. Avoid repeated freezing and thawing.
No comments: Submit comment
Supportive validation
- Submitted by
- NSJ Bioreagents (provider)
- Main image

- Experimental details
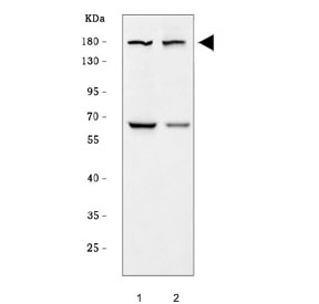
- Western blot testing of 1) rat testis and 2) mouse testis tissue with BRDT antibody. Predicted molecular weight ~108 kDa.
Supportive validation
- Submitted by
- NSJ Bioreagents (provider)
- Main image

- Experimental details
- Flow cytometry testing of human HeLa cells with BRDT antibody at 1ug/million cells (blocked with goat sera); Red=cells alone, Green=isotype control, Blue= BRDT antibody.