Antibody data
- Antibody Data
- Antigen structure
- References [9]
- Comments [0]
- Validations
- Western blot [1]
- Immunohistochemistry [2]
Submit
Validation data
Reference
Comment
Report error
- Product number
- 12169-1-AP - Provider product page

- Provider
- Proteintech Group
- Proper citation
- Proteintech Cat#12169-1-AP, RRID:AB_2080821
- Product name
- CHFR antibody
- Antibody type
- Polyclonal
- Description
- CHFR antibody (Cat. #12169-1-AP) is a rabbit polyclonal antibody that shows reactivity with human, mouse and has been validated for the following applications: IHC, WB,ELISA.
- Reactivity
- Human, Mouse
- Host
- Rabbit
- Conjugate
- Unconjugated
- Isotype
- IgG
- Vial size
- 20ul, 150ul
Submitted references Ubiquitin ligase CHFR impairs Tie2 signaling via K (48) -linked ubiquitylation and degradation of Akt1 in endothelial cells.
Polθ activity modulates sensitivity to standard therapies in DNMT3A-deficient leukemia.
DNA polymerase theta-mediated DNA repair is a functional dependency and therapeutic vulnerability in DNMT3A deficient leukemia cells.
Ubiquitin ligase CHFR mediated degradation of VE-cadherin through ubiquitylation disrupts endothelial adherens junctions.
Identification of a Novel Epigenetic Signature CHFR as a Potential Prognostic Gene Involved in Metastatic Clear Cell Renal Cell Carcinoma.
CHFR‑mediated epithelial‑to‑mesenchymal transition promotes metastasis in human breast cancer cells.
Silencing of CHFR Sensitizes Gastric Carcinoma to PARP Inhibitor Treatment.
CHFR protein regulates mitotic checkpoint by targeting PARP-1 protein for ubiquitination and degradation.
Association of CHFR promoter methylation with disease recurrence in locally advanced colon cancer.
Ansari MO, Mo GCH, Jayathilaka L, Chen H, Malik AB, Tiruppathi C
bioRxiv : the preprint server for biology 2026 Mar 31;
bioRxiv : the preprint server for biology 2026 Mar 31;
Polθ activity modulates sensitivity to standard therapies in DNMT3A-deficient leukemia.
Le BV, Vekariya U, Toma MM, Nieborowska-Skorska M, Caron MC, Gozdecka M, Haydar Z, Walsh M, Ghosh J, Vaughan-Williams E, Podszywalow-Bartnicka P, Kukuyan AM, Ziolkowska S, Atkins J, Hadzijusufovic E, Chandramouly G, Nejati R, Piwocka K, Pomerantz R, Vassiliou GS, Huntly BJP, Valent P, Wasik M, Bellacosa A, Masson JY, Gupta GP, Challen GA, Skorski T
Cell reports. Medicine 2026 Mar 17;7(3):102687
Cell reports. Medicine 2026 Mar 17;7(3):102687
DNA polymerase theta-mediated DNA repair is a functional dependency and therapeutic vulnerability in DNMT3A deficient leukemia cells.
Le BV, Vekariya U, Toma MM, Nieborowska-Skorska M, Caron MC, Gozdecka M, Haydar Z, Walsh M, Ghosh J, Vaughan-Williams E, Podszywalow-Bartnicka P, Kukuyan AM, Ziolkowska S, Hadzijusufovic E, Chandramouly G, Piwocka K, Pomerantz R, Vassiliou GS, Huntly BJ, Valent P, Bellacosa A, Masson JY, Gupta GP, Challen GA, Skorski T
bioRxiv : the preprint server for biology 2024 Sep 19;
bioRxiv : the preprint server for biology 2024 Sep 19;
Ubiquitin ligase CHFR mediated degradation of VE-cadherin through ubiquitylation disrupts endothelial adherens junctions.
Tiruppathi C, Wang DM, Ansari MO, Bano S, Tsukasaki Y, Mukhopadhyay A, Joshi JC, Loch C, Niessen HWM, Malik AB
Nature communications 2023 Oct 18;14(1):6582
Nature communications 2023 Oct 18;14(1):6582
Identification of a Novel Epigenetic Signature CHFR as a Potential Prognostic Gene Involved in Metastatic Clear Cell Renal Cell Carcinoma.
Chen X, Lin J, Chen Q, Liao X, Wang T, Li S, Mao L, Li Z
Frontiers in genetics 2021;12:720979
Frontiers in genetics 2021;12:720979
CHFR‑mediated epithelial‑to‑mesenchymal transition promotes metastasis in human breast cancer cells.
Jiang G, Fang H, Shang X, Chen X, Cao F
Molecular medicine reports 2021 Jun;23(6)
Molecular medicine reports 2021 Jun;23(6)
Silencing of CHFR Sensitizes Gastric Carcinoma to PARP Inhibitor Treatment.
Li Y, Shi Y, Wang X, Yu X, Wu C, Ding S
Translational oncology 2020 Jan;13(1):113-121
Translational oncology 2020 Jan;13(1):113-121
CHFR protein regulates mitotic checkpoint by targeting PARP-1 protein for ubiquitination and degradation.
Kashima L, Idogawa M, Mita H, Shitashige M, Yamada T, Ogi K, Suzuki H, Toyota M, Ariga H, Sasaki Y, Tokino T
The Journal of biological chemistry 2012 Apr 13;287(16):12975-84
The Journal of biological chemistry 2012 Apr 13;287(16):12975-84
Association of CHFR promoter methylation with disease recurrence in locally advanced colon cancer.
Tanaka M, Chang P, Li Y, Li D, Overman M, Maru DM, Sethi S, Phillips J, Bland GL, Abbruzzese JL, Eng C
Clinical cancer research : an official journal of the American Association for Cancer Research 2011 Jul 1;17(13):4531-40
Clinical cancer research : an official journal of the American Association for Cancer Research 2011 Jul 1;17(13):4531-40
No comments: Submit comment
Supportive validation
- Submitted by
- Proteintech Group (provider)
- Main image

- Experimental details
- HepG2 cells were subjected to SDS PAGE followed by western blot with 12169-1-AP(CHFR antibody) at dilution of 1:1000
- Sample type
- cell line
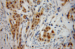
Supportive validation
- Submitted by
- Proteintech Group (provider)
- Main image

- Experimental details
- Immunohistochemical of paraffin-embedded human endometrial cancer using 12169-1-AP(CHFR antibody) at dilution of 1:100 (under 10x lens)
- Sample type
- tissue
- Submitted by
- Proteintech Group (provider)
- Main image

- Experimental details
- The CHFR antibody from Proteintech is a rabbit polyclonal antibody to a recombinant protein of human CHFR. This antibody recognizes human,mouse,rat antigen. The CHFR antibody has been validated for the following applications: ELISA, WB, IHC analysis.